GENERALIDADES COLUMNA.
La columna está compuesta por 7 vértebras cervicales, 12 dorsales, 5 lumbares, 5 sacras y 4 coccígeas fusionadas, para un total de 33. (1).
Con excepción de C1-C2, los cuerpos están separados por los discos intervertebrales. (2). Estas 2 vértebras son diferentes a las demás. C1 o atlas, es un anillo óseo formado por un arco anterior y otro posterior, unidos por las masas laterales. (2). C2 o axis presenta una proyección en la parte superior del cuerpo, la apófisis odontoides, que se articula con el arco anterior de C1. (2).
Las vértebras cervicales de C3 a C7, las dorsales y lumbares, están compuestas por un cuerpo y un arco posterior (láminas y pedículos), que conforman el canal medular. (2).
(Fig 1).

Fig 1. Vertebral normal.
A: TAC axial de vértebra cervical y B: TAC axial de vértebra lumbar.
C: cuerpo, P: pedículo, L: lámina, AT: apófisis transversa, AE: apófisis espinosa. CM: canal medular. Flecha delgada: agujero transverso.
Los discos intervertebrales son estructuras metabólicamente activas, cuya nutrición depende de la difusión de líquidos desde la medula ósea vertebral, el hueso subcondral, el cartílago de la placa terminal y los vasos que rodean el anillo fibroso. (3).
Está conformado por una placa de cartílago terminal, que cubre la superficie vertebral superior e inferior, el núcleo pulposo y el anillo fibroso. (4). (Fig 2).

Fig 2. Diagrama del disco.
NP: Núcleo pulposo. AF: Anillo fibroso CM: Canal medular. RN: Raíz nerviosa.
La estabilidad de la columna depende de un sistema pasivo y otro activo. (6).
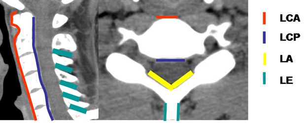
Hay múltiples ligamentos que estabilizan la columna. Los ligamentos longitudinal común anterior (LLCA) y posterior (LLCP) que fija los cuerpos vertebrales, el ligamento amarillo que une las láminas, los ligamentos intertransversos, interespinosos, etc. (3). (Fig 3).

Fig 3. Diagrama ligamentos.
A: TAC reconstrucción sagital y B: TAC axial. LCA: Ligamento común anterior.
LCM: Ligamento común posterior. LA: Ligamento amarillo. LE: Ligamento interespinoso.
El complejo del ligamento posterior es la clave para mantener la estabilidad y está compuesto por la cápsula articular, el ligamento amarillo, los ligamentos interespinosos y supraespinosos. (7).
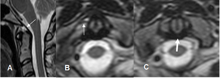
Hay múltiples ligamentos en la unión cráneo espinal, pero solo 3 son considerados los principales estabilizadores. (6, 8). (Fig 4).

Fig 4. Ligamentos de unión craneoespinal.
A: RM sagital en T2. Membrana tectorial.
B y C: RM axial en T2. Ligamento alar (Flecha delgada) y ligamento transverso (Flecha gruesa).
Las articulaciones intervertebrales son de tipo sinovial, fijadas por músculos y ligamentos. (3). En el segmento cervical además de las articulaciones intervertebrales, existen las uncovertebrales o de Luschka que articulan la parte lateral de los cuerpos de C3 a C7. (2). (Fig 5).

Fig 5. Articulaciones uncovertebrales.
A: Rx AP, B: TAC axial y C: TAC reconstrucción coronal. Articulaciones uncovertebrales normales.
La medula espinal es la continuación del bulbo raquídeo. Está rodeado por las meninges y se extiende hasta L1-L2. (Fig 6).

Fig 6. Medula espinal.
A: RM sagital en T2. Unión craneoespinal, como continuación del bulbo.
B: RM sagital en T2.Ubicación del cono medular sobre la unión dorsolumbar.
De los cordones anteriores se originas las fibras motoras, que forman las raíces nerviosas y emergen por los agujeros de conjunción.
Como en la medula cervical hay 8 segmentos, en el espacio de interés sale la raíz inferior. Ejemplo: Por el agujero de conjunción C5-C6, emerge la raíz de C6.
En los segmentos dorsal y lumbar, emerge la raíz superior. Ejemplo: En el agujero L4-L5, sale la raíz de L4.
| Fecha de creación | Marzo 1 de 2011 |
| Fecha de actualización | Septiembre 21, 2011 |