ESPONDILOLISIS Y ESPONDILOLISTESIS.
La espondilolisis es definida como la ruptura de la porción interarticular de una vértebra.
Puede existir desplazamiento o no, lo que se denomina espondilolistesis. (1).
Cuando hay desplazamiento sin espondilolisis, generalmente se debe a artrosis interapofisiaria. (1).
La espondilolisis puede ser de etiología degenerativa, traumática, iatrogénica, etc. La degenerativa es mas común en el espacio L4-L5, por su orientación sagital que permite mas movilidad. (4).
Esta patología se asocia frecuentemente a canal estrecho y compresión de estructuras nerviosas. (6).
La listesis se nombra de acuerdo a la dirección del desplazamiento de la vértebra superior. (6). (Fig 71).
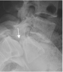
Se aprecia como imagen radiolúcida en la pars interarticular, con esclerosis de los fragmentos, mejor visto en una Rx oblicua. Puede ser uni o bilateral. En la TAC se encuentran los mismos hallazgos, en cortes por encima del nivel del disco. (1). (Fig 72 a 74).
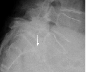
Las radiografías funcionales son la única técnica, que permiten evaluar la inestabilidad intervertebral. Su utilidad es debatible por su poca reproductibilidad (Posición del paciente y dirección del rayo). (6). (Fig 75 a 76).

Fig 71. Denominación de listesis.
A: Rx lateral. Anterolistesis con desplazamiento anterior del cuerpo superior.
B: TAC reconstrucción sagital. Retrolistesis con desplazamiento posterior del cuerpo superior.

Fig 72. Listesis.
TAC axial. Solución de continuidad en la lámina derecha, por listesis unilateral.

Fig 73. Listesis.
A y B: TAC axial. Listesis bilateral sin desplazamiento en A y desplazada en B.

Fig 74. Listesis.
A y B: TAC reconstrucción sagital. Listesis sin desplazamiento en A y desplazada en B.

Fig 75. Inestabilidad.
A: Rx lateral neutra y B: Rx lateral en flexión. Anterolistesis GI-II de L4 sobre L5 y GI de L5, sobre S1, que no se modifica con la flexión.

Fig 76. Inestabilidad.
A: Rx lateral neutra y B: Rx lateral en flexión. Anterolistesis GI de L5, sobre S1, que aumenta en la proyección de flexión e indica inestabilidad.
Para la clasificación en grados, se divide el cuerpo en 4 partes: (1).

Fig 77. Anterolistesis G I.
A: Rx lateral, B: TAC reconstrucción sagital y C: RM sagital en T2. Anterolistesis GI, con desplazamiento del cuerpo superior, menor del 25%.

Fig 78. Anterolistesis G II.
A: Rx lateral, B: TAC reconstrucción sagital. Anterolistesis GII, con desplazamiento del cuerpo superior, entre el 25 y 50%. Adicionalmente en A, hay otra anterolistesis GI, en el segmento inferior.

Fig 79. Anterolistesis G III.
Rx lateral. Anterolistesis GIII con desplazamiento del cuerpo superior, entre 50 y 75%.

Fig 80. Anterolistesis G IV.
Rx lateral. Anterolistesis GIV, con desplazamiento del cuerpo mayor del 75%.
| Fecha de creación | Marzo 1 de 2011 |
| Fecha de actualización | Septiembre 27, 2011 |