CAMBIOS DEGENERATIVOS DEL DISCO.
Los cambios degenerativos del disco son el resultado de varios factores y el paso de los años. (3).
Estos cambios aumentan con la edad y son casi universales después de la 6º década. (5).
Se ha encontrado una predisposición genética para el desarrollo de degeneración del disco y el dolor de espalda. (4).
La deshidratación del cartílago y el núcleo pulposo ocasiona rupturas de diferente tipo, en el anillo fibroso. Inicialmente hay deformación y luego reducción en la presión del disco, con disminución del espacio y prominencia del disco. Adicionalmente hay disminución de la difusión de nutrientes y del flujo sanguíneo, con mas deshidratación, lo que origina un círculo vicioso. (4, 5)
En la Rx se encuentra disminución del espacio intervertebral, fenómeno del vacío central o cerca del hueso subcondral y calcificación. (3, 6). (Fig 32 y 33).
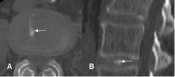
El fenómeno del vacío corresponde a nitrógeno acumulado por la presión negativa, que se produce al disminuir el espacio intervertebral. Se aprecia como imagen con densidad de aire en la RX y el TAC o ausencia de señal en la RM. (4). (Fig 34 y 35).
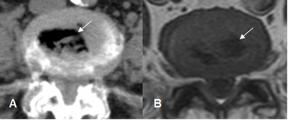
Las calcificaciones del disco son densas en Rx y TAC. Dependiendo del tipo y concentración de calcio, en algunos casos las calcificaciones se identifican como zonas con aumento de la señal en T1. (4). (Fig 36, 37 y 38).
La deshidratación de los proteoglicanos, se traduce como una disminución en la señal del disco en T2 y en las secuencias de difusión. (4). (Fig 39, 40 y 41).

Fig 32. Cambios degenerativos del disco.
A: Rx lateral, B: TAC reconstrucción sagital y C: RM sagital en T2. Disminución de los espacios intervertebrales, por proceso degenerativo.

Fig 33. Cambios degenerativos del disco.
A: Rx lateral y B: RM sagital en T2. Disminución de los espacios intervertebrales, por proceso degenerativo.

Fig 34. Fenómeno del vacío.
A: Rx lateral, B: TAC reconstrucción sagital y C: RM sagital en T1. Presencia de aire dentro de los discos, por proceso degenerativo.

Fig 35. Fenómeno del vacío.
A: TAC axial y B: RM axial en T1. Presencia de aire dentro de los discos, por proceso degenerativo.

Fig 36. Calcificación del disco.
Rx lateral. Calcificación del disco, por proceso degenerativo.

Fig 37. Calcificación del disco.
A: TAC axial y B: TAC reconstrucción sagital. Calcificación alargada, en la parte derecha del disco.

Fig 38. Calcificación del disco.
A: Rx lateral y B: TAC axial. Calcificación en el borde posterior del disco.

Fig 39. Degeneración del disco.
RM sagital en T2. Disminución de la señal del disco de L5-S1, por proceso degenerativo.

Fig 40. Difusión normal.
A: RM sagital en T2. Disco L3-L4 normal. Los discos L4-L5 y L5-S1 muestran disminución de su señal, por degeneración inicial.
B: RM sagital en difusión. Los discos degenerados en A conservan su señal, por preservación de su difusión.

Fig 41. Difusión anormal.
A: RM sagital en T2. Los discos L2-L3, L4-L5 y L5-S1 muestran disminución de su señal, por degeneración. Adicionalmente hay pérdida del espacio L4-L5.
B: RM sagital en difusión. Los discos degenerados L2-L3 y L5-S1, mantiene su difusión normal.
El disco L4-L5 es hipointenso, por alteración de la difusión.
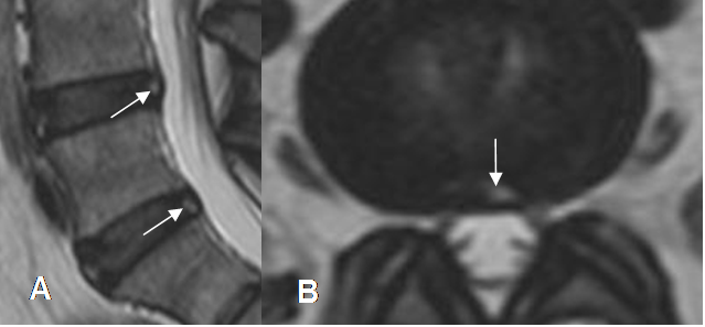
La fisura, ruptura del anulus o lesión HIZ (High Intensity Zone), son disrupciones de las fibras o de su inserción vertebral, que se identifica como un área focal de aumento de la señal en T2. (4,5). (Fig 42).
En el disco normal, las terminaciones nerviosas llegan solo hasta la periferia del anillo fibroso. En algunos discos degenerados, llegan hasta el núcleo pulposo, produciendo dolor de origen discogénico. (3, 4).

Fig 42. Ruptura del anulus.
A: RM sagital en T2 y B: RM axial en T2. Hiperintensidad en la parte posterior del anillo fibroso, por fisura o ruptura de sus fibras.
| Fecha de creación | Marzo 1 de 2011 |
| Fecha de actualización | Agosto 13, 2013 |