HERNIA DE DISCO VS FIBROSIS POSTQX.
El síndrome de espalda PostQx fallida, es ocasionado por múltiples causas, pero la principal es la fibrosis peridural. (28).
En la fibrosis peridural la grasa normal, es reemplazada por tejido inflamatorio que rodea la dura y las raíces nerviosas, después de una laminectomía o discectomía. (29).
Todos los pacientes operados presentan fibrosis epidural en diferente grado, que puede ser sintomática o no. (28). (Fig 120, 121 y 122).

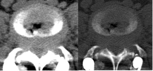
Fig 120. Laminectomía.
A: TAC axial en ventana de tejido y B: TAC axial en ventana osea. Disco degenerado con fenómeno del vacío y prominencia difusa. Cambios PostQx, con laminectomía derecha.

Fig 121. Laminectomía.
A: Rx AP. Ausencia de la lámina izquierda de L5.
B: RM axial en T1 y C: RM axial en T2. Cambios Post-laminectomía izquierda.

Fig 122. Fibrosis postquirúrgica.
A: TAC axial en ventana de tejido y B: TAC axial en ventana ósea. Cambios PostQx con fijación posterior. Hay gran fibrosis del canal, no pudiendo identificar el saco dural.
El disco normal no realza, por ser una estructura avascular. En secuencias tardías entre 20 y 30 minutos, puede volverse hiperintenso, por la difusión del contraste desde una cicatriz muy vascularizada. (29).
Una recomendación técnica importante, es iniciar las secuencias después de 2 minutos de aplicar el contraste, ya que algunas hernias son muy vascularizadas y pueden realzar en fases muy tempranas. (28).
Un realce homogéneo del contraste, corresponde a fibrosis epidural. Una imagen sin realce, sugiere hernia de disco. Algunas hernias muestran realce periférico y heterogéneo, por estar parcialmente vascularizada. (28). (Fig 123 a 127).

Fig 123. Fibrosis postquirúrgica.
A: RM axial en T2 y B: RM axial en T1. Imagen hipointensa en el receso lateral del lado derecho, que oblitera la grasa y desplaza las raíces.
C: RM axial en T1 con contraste. La imagen realza de forma homogénea, correspondiendo a fibrosis.

Fig 124. Fibrosis postquirúrgica.
A: RM axial en T2 y B: RM axial en T1. Imagen hipointensa que comprime el lado derecho del canal y que oblitera la grasa.
C: RM axial en T1 con contraste. La imagen realza de forma homogénea, correspondiendo a fibrosis.

Fig 125. Fibrosis postquirúrgica.
A: RM axial en T2 y B: RM axial en T1. Obliteración de la grasa paramediana izquierda.
C: RM axial en T1 con contraste. Realce del contraste por fibrosis, que rodea una raíz engrosada.

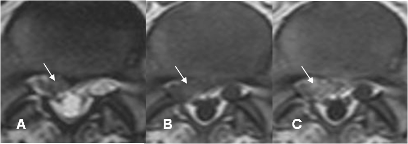
Fig 126. Recidiva de hernia.
A: RM en T2 y B: RM axial en T1. Gran prominencia asimétrica mediana y paramediana derecha, que comprime el saco dural y las raíces. (Flechas delgadas).
C: RM axial en T1 con contraste. La imagen no realza con el contraste y corresponde a recidiva de hernia. Hay zona de fibrosis en el lado derecho del canal, que realza. (Flechas gruesas).

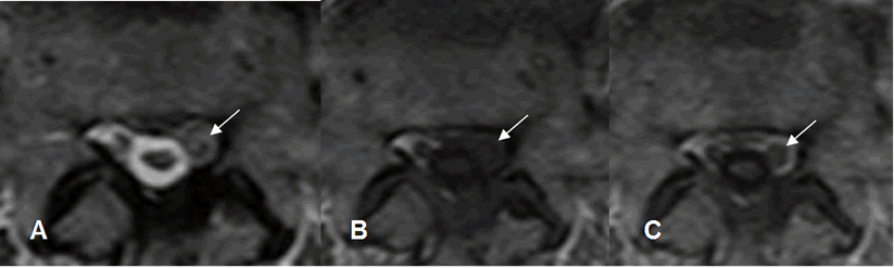
Fig 127. Compresión mixta.
A: RM axial en T2 y B: RM axial en T1. Laminectomía izquierda, con imagen de tejidos blandos de localización mediana y paramediana izquierda, que comprime el saco dural. (Flecha delgada).
C: RM axial en T1 con contraste. La lesión no realza con el contraste correspondiendo a recidiva de hernia, pero existe otra zona hipointensa que si realza y comprime el lado izquierdo del saco, por fibrosis. (Flecha gruesa).
| Fecha de creación | Marzo 1 de 2011 |
| Fecha de actualización | Septiembre 29, 2011 |