CANAL ESTRECHO.
Es definido como cualquier tipo de estenosis del canal espinal, neural o agujero de conjunción. (4).
Hay 2 tipos el adquirido (Degenerativo, post-trauma) y el congénito o del desarrollo.
(Acondroplasia, displasias, malformaciones, etc). (1, 4). (Fig 50).
La discrepancia entre el tamaño del canal medular y su contenido, es un fenómeno dinámico e influenciado por la postura. (19).
Los síntomas pueden desarrollarse cuando a un canal estrecho, se le superponen cambios degenerativos o después de un episodio traumático. (13, 19). Se caracteriza por alteraciones sensitivas en las extremidades, dolor de espalda y debilidad, con mejoría del dolor al doblarse hacia delante. (4).
La compresión mecánica o deformidad de las raíces nerviosas, producen dolor o disfunción neural. (4).
Los casos de estenosis degenerativa, puede dividirse en 2 tipos: (19).
Muchos factores intervienen en la amplitud del canal a nivel del disco: Prominencia o hernia de disco, espesor del ligamento amarillo, espondilolistesis, tamaño y desplazamiento de las facetas articulares. (19).
A nivel cervical, el diámetro del canal varía mucho con la raza y la edad. (1).
Se habla de canal estrecho cuando el diámetro sagital, medido entre el borde posterior del disco y la línea espinolaminar, es menor de 10 mm. Una amplitud mayor de 13 mm lo descarta. (1).

Fig 50. Acondroplasia.
A: RM axial y B: RM sagital en T2. Disminución en la amplitud del canal de origen congénito, con discos, ligamentos y facetas articulares normales.

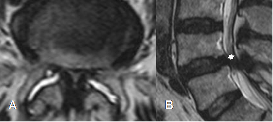
Fig 51. Canal estrecho central.
A: RM sagital y B: RM axial en T2. Disminución del diámetro AP del canal, por proceso degenerativo.

Fig 52. Canal estrecho central.
A: TAC axial lumbar y B: TAC axial cervical. Osteofito central (Flecha delgada) y paramediano izquierdo (Flecha gruesa), que obliteran la grasa peridural.

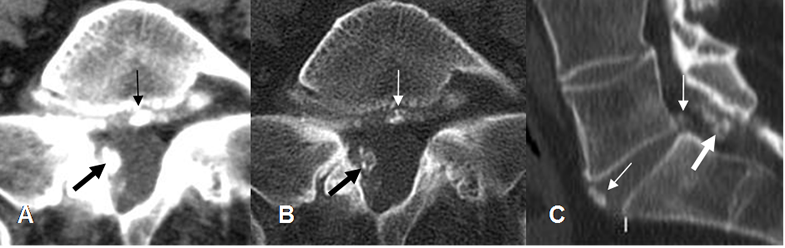
Fig 53. Canal estrecho central mixto.
A: TAC axial en ventana de tejido, B: TAC axial en ventana osea y TAC reconstrucción sagital. Canal estrecho mixto, con prominencia del disco, el cual está calcificado. (Flechas delgadas) y osteofito en la parte medial de la lámina derecha, que comprime el saco dural. (Flecha gruesa).

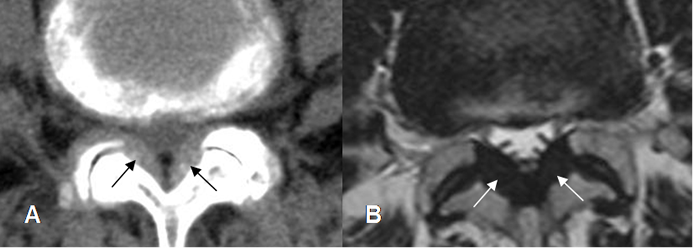
Fig 54. Ligamento amarillo.
A: TAC axial y B: RM axial en T2. Canal estrecho central, por hipertrofia de ligamentos amarillos.

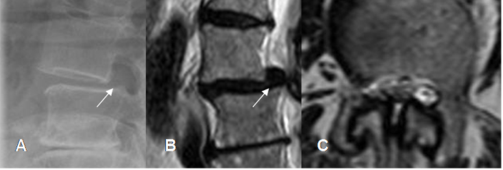
Fig 55. Canal estrecho por anterolistesis.
A: Rx lateral y B: RM sagital en T2. Anterolistesis G I de L3, sobre L4.
C: RM axial en T2. Presencia de canal estrecho mixto asociado.

Fig 56. Canal estrecho lateral.
A y B: TAC axial cervical. Hipertrofia de articulaciones uncovertebrales e interfacetarias, que disminuyen la amplitud del agujero de conjunción.

Fig 57. Canal estrecho lateral.
A: Rx oblicua cervical. Disminución en la amplitud del agujero de conjunción.
B: TAC axial. Presencia de osteofito, que ocasiona estenosis del receso lateral.

Fig 58. Canal estrecho lateral.
A: TAC axial, B: TAC reconstrucción sagital y C: RM sagital en T1. Hipertrofia de articulaciones intervertebrales y formación de osteofitos, que disminuyen la amplitud del agujero de conjunción. Hay pérdida de la grasa normal, en la RM. En B y C hay cambios degenerativos en L5-S1, con pérdida del espacio, fenómeno del vacío y deshidratación del disco.
A nivel lumbar el canal adquiere forma de trébol, en el TAC y la RM axial. (19).
El diámetro transversal entre la parte interna de los pedículos, debe ser mayor de 20 mm. (1). (Fig 59, 60 y 61).
Se definió una estenosis absoluta cuando el diámetro AP en mielografía es menor de 10 mm y relativa entre 10 y 12 mm. La estenosis del receso lateral, se diagnostica cuando su diámetro es menor de 3 mm. (19). (Fig 62 a 64).

Fig 59. Canal estrecho mixto.
A: TAC axial y B: RM axial en T2. Canal estrecho mixto de apariencia triangular, con prominencia del disco (Punta de flecha), hipertrofia del ligamento amarillo (Flechas delgadas) e hipertrofia de articulaciones intervertebrales (Flechas gruesas).

Fig 60. Canal estrecho mixto.
A: RM axial en T1 y B: RM axial en T2. Gran canal estrecho mixto, con pequeño saco dural.

Fig 61. Distancia interpedicular.
Rx AP lumbar. Distancia interpedicular normal.

Fig 62. Canal estrecho.
Rx lateral lumbar. Disminución del diámetro AP del canal a nivel de L5-S1. Espacio normal sobre L4.Adicionalmente hay fenómeno del vacío y disminución de los espacios L4-L5 y L5-S1.

Fig 63. Canal estrecho.
A: RM axial y B: RM sagital en T2. Canal estrecho mixto, con disminución del diámetro AP.

Fig 64. Canal estrecho lateral.
A: TAC axial en ventana de tejido y B: TAC axial en ventana de hueso. Estenosis del receso lateral, por hipertrofia de articulaciones intervertebrales y presencia de osteofito. (Flecha gruesa). Disminución de la grasa que rodea la raíz nerviosa. (Flecha delgada).
| Fecha de creación | Marzo 1 de 2011 |
| Fecha de actualización | Agosto 13, 2013 |