VALORACION RADIOLOGICA:
Como en todas las articulaciones, se debe iniciar la valoración con radiografía (Rx) simple. Con esta modalidad se pueden identificar lesiones focales, calcificaciones anormales, valorar lesiones traumáticas, etc.
Recordar que la proyección AP, debe hacerse con la muñeca en supino. (6).
Estructuras óseas a tener en cuenta en el humero distal el capitel, los epicóndilos medial y lateral. Además el olécranon en el cúbito y la cabeza del radio. (Fig 5).

Fig 5. Rx simple de codo. A: AP y B: Perfil.
O: Olécranon. C: Cabeza del radio. EM: Epicóndilo medial. EL: Epicóndilo lateral. CA: Capitel.
La ecografía es utilizada para la valoración de patología inflamatoria y se recomienda el estudio comparativo. (7).
La Resonancia Magnética (RM) es el estudio de elección para el estudio de los tejidos blandos, que incluye músculos y tendones, ligamentos, nervios, espacio articular, medula ósea, etc.
La RM debe incluir cortes axiales, sagitales y coronales. Tener en cuenta que los cortes coronales, deben realizarse con una angulación posterior de 20º en relación con el eje del húmero, lo que permite la mejor visualización de los ligamentos. (1). (Fig 6).

Fig 6. Orientación de cortes coronales en RM.
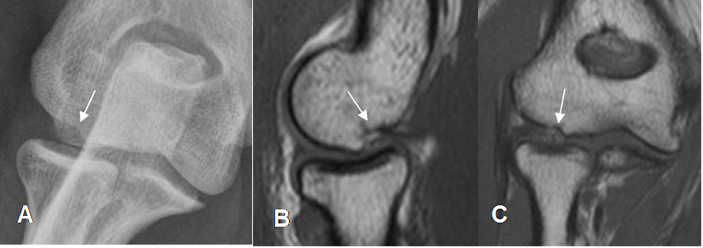
Existen 2 variantes normales, que no deben confundirse con patología en la RM. El seudodefecto del capitel y el seudodefecto del surco troclear. (8).
El seudodefecto del capitel se observa en la parte externa. Se valora en cortes axiales y debe tener bordes lisos, sin alteración en la señal de intensidad. Debe diferenciarse de fracturas, lesiones osteocondrales y quistes. (Fig 7 y 8).

Fig 7. Seudodefecto del Capitel.
A: Rx AP. B: RM sagital en T1 y C: RM coronal en T1.

Fig 8. Lesión osteocondral
A: Rx AP. Osteopenia difusa por artritis reumatoidea, con disminución de los espacios articulares.
B: RM coronal en T1 y C: RM coronal en STIR. Lesión osteocondral del epicóndilo lateral, con erosión y alteración de la señal.
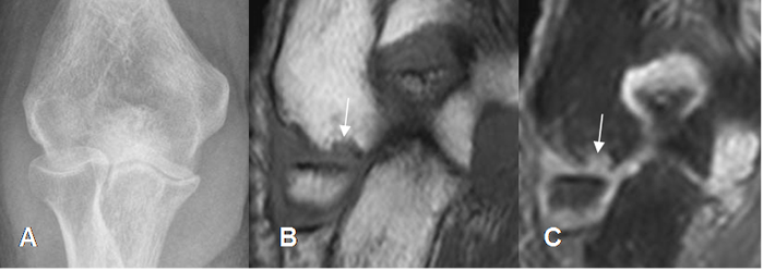
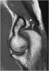
El seudodefecto troclear, tiene similares características y se aprecia hacia el fondo de la cavidad troclear del cúbito. (Fig 9).

Fig 9. Seudodefecto troclear.
A: Rx lateral y B: RM sagital en T1. Irregularidad en la cortical de la cavidad coronoides.
C: RM sagital en STIR. Estudio normal, descartando lesiones óseas.
Los tendones se aprecian como estructuras con señal de intensidad (SI) baja, en todas las secuencias. (Fig 10).

Fig 10. Tendones normales.
Origen de flexores en epicóndilo medial (Flecha gruesa) y extensores en el epicóndilo lateral (Flecha delgada).
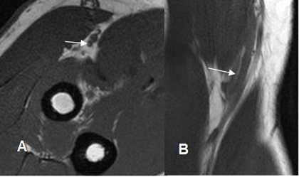
El tendón del bíceps aparece como imagen ovalada y su inserción se aprecia mejor en las imágenes axiales. (3). (Fig 11).

Fig 11. Tendón del bíceps normal.
A: RM axial, B: RM sagital y C: RM coronal en T1. Tendón hipointenso en todas las secuencias.
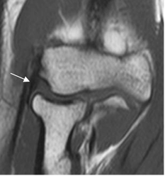
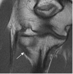
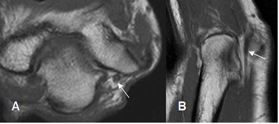
La inserción del tendón del tríceps en el olécranon, se observa mejor en secuencias sagitales. (3). Muestra estriaciones a nivel de su inserción, por interposición de grasa entre los fascículos. (8). (Fig 12 y 13). Puede encontrarse laxitud del tendón en extensión completa del codo, que no debe confundirse con ruptura y se confirma valorando las imágenes axiales. (8). (Fig 14).

Fig 12. Tendón del tríceps norma.
RM sagital en T1, con tendón hipointenso.

Fig 13. Tendón del tríceps normal en RM.
A: RM axial en T1 y B: RM coronal en T1. Estriaciones grasas a nivel de su inserción.

Fig 14. Tendón del tríceps normal en RM.
Laxitud del tendón en secuencia T2, pero conserva su SI.
En la ecografía los tendones se identifican como estructuras hipoecoicas, con un patrón fibrilar y en relación con los sitios de origen o inserción. (Fig 15 y 16).

Fig 15. Tendones normales en ecografía.
A: Vista longitudinal, sobre la inserción del tendón del bíceps.
B: Inserción del tríceps, en vista longitudinal.

Fig 16. Tendones normales en ecografía.
A: Vista longitudinal, en el origen de los flexores.
B: Origen de los extensores, en vista longitudinal.
Los ligamentos son engrosamientos fibrosos de la cápsula y se valoración requiere de imágenes coronales oblicuas y axiales de RM. (1). (Fig 17, 18, 19, 20 y 21). La prueba de elección para su valoración, es la ArtroRM guiada con fluoroscopia. (9).

Fig 17. Ligamento colateral medial normal.
Banda anterior, en secuencia T1 coronal.

Fig 18. Ligamento colateral medial normal.
A: RM coronal y B: RM axial en T1. Banda posterior normal.

Fig 19. Ligamento anular normal.
RM axial en T1. Inserción anterior (Flecha delgada) y posterior (Flecha gruesa).

Fig 20. Ligamento colateral radial normal.
RM coronal en T1.

Fig 21. Ligamento colateral ulnar lateral normal.
RM coronal en T1.
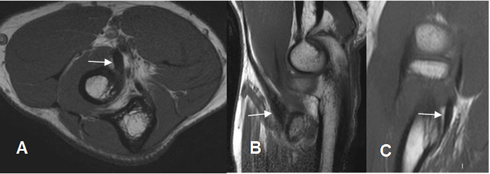
Los nervios se identifican como estructuras redondeadas y mejor vistos en cortes axiales. (4). Normalmente están rodeados por líquido y tienen señal intermedia en T1 y elevada en T2, en relación con el músculo. (10).
El nervio ulnar cruza por el túnel de su nombre, por detrás del epicóndilo medial y está fijado por el ligamento arcuado. Hasta en el 15% de la población, el nervio puede estar sub o dislocado, por ausencia del ligamento, como variante normal. Esta variante predispone a neuritis, aunque la mayoría de individuos son asintomáticos. (4). (Fig 22 y 23).
Fig 22. Diagrama de nervio ulnar, cruzando su canal.

Fig 23. Nervio ulnar normal en T1.
A: Secuencia axial y B: Secuencia coronal.
El nervio mediano pasa entre el músculo braquial y el pronador redondo y el nervio radial se aprecia entre el músculo braquioradial y el braquial. (Fig 24 y 25). Todos los nervios se acompañan de la arteria y venas respectivas.

Fig 24. Nervio mediano normal.
A: RM axial y B: RM coronal en T1.

Fig 25. Nervio radial normal.
A: RM axial y B: RM coronal en T1.
| Fecha de creación | Marzo 1 de 2011 |
| Fecha de actualización | Septiembre 26, 2012 |