TRAUMA DEL TRICEPS.
Este tendón se lesiona por caída sobre el brazo flexionado y por hiperextensión del
codo. (3).
Su ruptura también es muy rara, ocurre a nivel de su inserción y generalmente se asocia con avulsión del olécranon. (2, 5).
La secuencia T2 en orientación sagital, es el mejor plano para su valoración. (3).
El tendón aparece laxo y redundante. Recordar que la laxitud del tendón en la extensión completa del codo, no debe confundirse con ruptura y se deben confirmar los hallazgos en las imágenes axiales. (8). (Fig 41 y 42).
Hacer diagnóstico diferencial con ruptura parcial, tendinitis o bursitis. (5). (Fig 43 A, By C).

Fig 41. Ruptura del tríceps.
A: RM sagital en T1 y B: RM sagital T2. Ruptura del tendón ddel tríceps, con espacio lleno de líquido entre los extremos. (Flechas).

Fig 42. Lesión del tríceps, por avulsión del olécranon.
A: Rx lateral. Avulsión del olécranon, con desplazamiento superior.
B: RM sagital T1. Adicional a la avulsión , existen fracturas en el cubito distal.
C: RM sagital STIR. Cambios inflamatorios, con tendón del tríceps normal.

Fig 43 A. Ruptura parcial triceps.
A: Rx lateral. Edema de tejidos blandos y fragmento oseo posterior, por avulsión.
B: RM coronal en STIR. Edema de la microtrabécula, sobre el epicóndilo lateral.

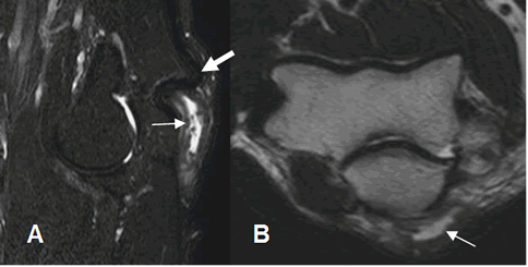
Fig 43 B. Ruptura parcial triceps.
A: RM axial en STIR y B: RM sagital en STIR. Solución de continuidad en algunas fibras del tendón del tríceps, por ruptura parcial.

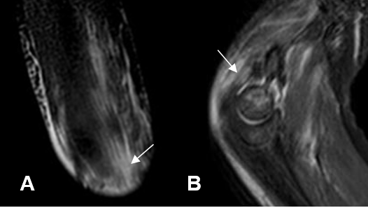
Fig 43 C. Bursitis del tríceps.
A: RM STIR sagital y B: RM axial en T2. Imagen líquida, en la región posterior del codo, (Flecha delgada) en relación con el tendón del tríceps normal. (Flecha gruesa).
| Fecha de creación | Marzo 1 de 2011 |
| Fecha de actualización | Diciembre 11, 2016 |