TENDINOPATIAS.
Son un grupo de patologías, que producen cambios inflamatorios en los tendones.
Incluye tendinitis, tenosinovitis, degeneración, ruptura parcial o completa.
La mayoría de estos aspectos, fueron discutidos en las lesiones traumáticas y las
epicondilitis.
TENDINITIS DEL BICEPS:
Clínicamente se manifiesta con dolor y limitación funcional.
En la RM se aprecia engrosamiento del tendón, con aumento de la SI en las secuencias potenciadas en T2. (3). (Fig 50 y 51).
En la ecografía además del engrosamiento y alteración de la ecogenicidad, se puede encontrar líquido peritendinoso. (15).
Se debe diferenciar la tendinopatía, donde el tendón está engrosado y es hiperintenso, de la bursitis y la "tenosinovitis", donde el tendón está integro y rodeado por líquido, en las diferentes modalidades diagnósticas. (3, 5).

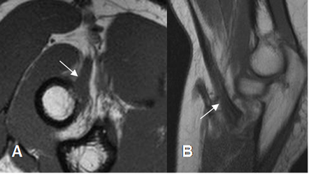
Fig 50. Tendinitis del bíceps.
A: RM vista axial en T1 y B: RM vista sagital en T1.
Aumento en la señal sobre la inserción del tendón, por tendinitis.

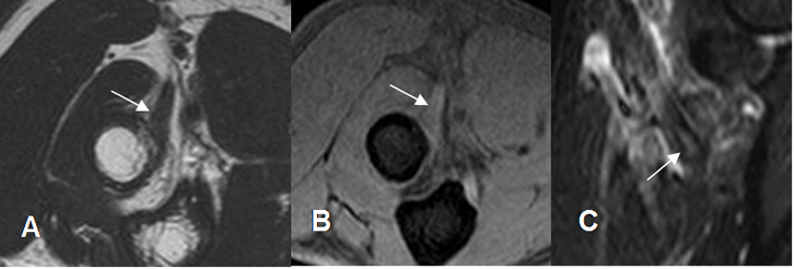
Fig 51. Tendinitis del bíceps.
A: RM axial en T2, B: RM axial en GE y C: sagital en STIR. Aumento en la señal sobre la inserción del tendón, por tendinitis.
"TENOSINOVITIS" DEL BICEPS:
Este tendón es especial, porque carece de vaina sinovial. Cuando el tendón está completamente rodeado por líquido, hablamos de bursitis. El tendón puede tener señal normal o aumentada. (Fig 52 A y B).

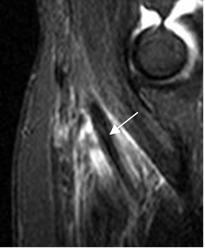
Fig 52 A. Bursitis del biceps.
RM sagital en STIR. Tendón con señal normal y rodeado por líquido, por bursitis.

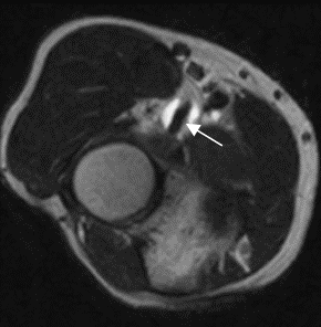
Fig 52 B. Bursitis del bíceps.
RM axial en T2. Líquido rodeando completamente la inserción del tendón del bíceps braquial, por bursitis.
TENDINITIS DEL TRICEPS:
Los hallazgos en la tendinitis del biceps, son similares a los descritos en la tendinitis del
biceps. (Fig 53 A y B).

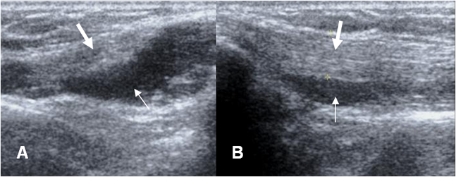
Fig 53 A. Tendinitis tríceps.
A: Ecografía transversal y B: Ecografía longitudinal. Presencia de líquido (Flechas delgadas) rodeando el tendón del tríceps (Flechas gruesas), por tendinitis.

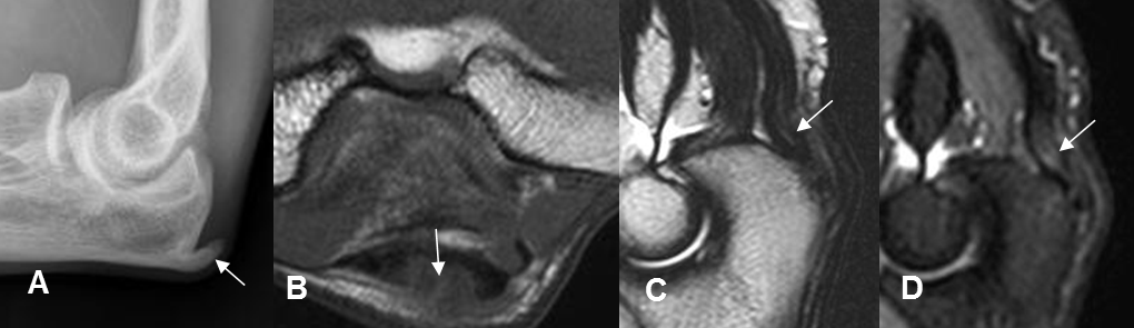
Fig 53 B. Tendinitis triceps.
A: Rxlateral. Calcificación sobre la inserción del tendón del triceps, por tendinitis crónica.
B: RM axial, C: RM sagital en T2 y D: RM sagital en STIR. Fibras del tendín del triceps hipointensas en T1, hiperintensas en T2 y STIR, por tendinitis.
| Fecha de creación | Marzo 1 de 2011 |
| Fecha de actualización | Diciembre 11, 2016 |