LUXACIONES.
La luxación del codo, es la más frecuente en niños menores de 10 años (2) y la 2º en los adultos, después del hombro. (1).
Al igual que las fracturas, son valoradas con Rx simple inicialmente y con TAC, en casos especiales.
(Fig 33 A, 33 B y 34).

Fig 33 A. Luxación anterior del codo.
Rx lateral. Luxación anterior del codo.

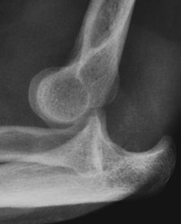
Fig 33 B. Luxación posterior del codo.
A: Rx AP y B: Rx lateral, que muestran luxación de las articulaciones ulnohumeral y radioulnar proximal.

Fig 34. Luxofractura del radio, con cuerpos libres.
A: Rx AP. Luxación del radio, con cuerpos libres.
B: RM coronal en T1. Radio reducido, con cuerpos libres intra-articulares.
| Fecha de creación | Marzo 1 de 2011 |
| Fecha de actualización | Enero 2, 2012 |