LESIONES LIGAMENTARIAS.
En el codo se pueden encontrar lesiones ligamentarias agudas y crónicas, completas o parciales y la ArtroRM, es la prueba de elección para su valoración. (1).
La injuria del LCM es mas común, que la del LCL y se producen por microtrauma repetido en deportistas o stress en valgo. (2).
En un esguince aislado, la Rx simple generalmente es normal. Si existen lesiones asociadas, pueden encontrarse avulsiones, fracturas o luxaciones.
Con ecografía, solo se puede valorar la banda anterior del LCM. La banda posterior y la oblicua no son visibles. (16).
En RM y Artro RM el espectro de lesiones ligamentarias incluyen: Aumento de la señal
con la presencia de líquido en casos de ruptura parcial o discontinuidad de las fibras, en
la ruptura completa. (17). (Fig 44, 45 A y B).
La inestabilidad rotacional posterolateral es ocasionada por lesión del ligamento colateral ulnar lateral, por luxación posterior. Las luxaciones anteriores son raras. (17).

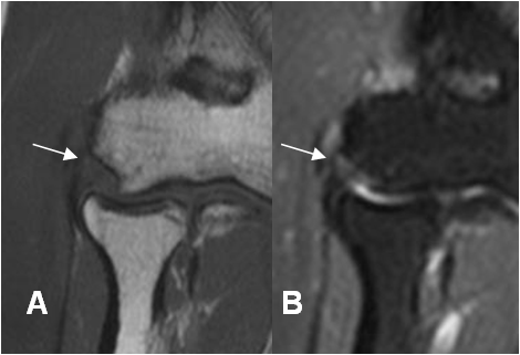
Fig 44. Esguince del LCL.
A: RM coronal en T1 y B: RM coronal en STIR. Cambios Inflamatorios rodeando el LCL, el cual permanece intacto. (Flechas).

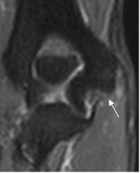
Fig 45 A. Ruptura del LCM.
RM coronal en STIR. Solución de continuidad, sobre el origen humeral de la banda anterior del LCM.

Fig 45 B. Ruptura del LCL.
A: RM coronal en GE y B: RM coronal en STIR. Presencia de líquido y solución de continuidad del LCL, por ruptura completa.
| Fecha de creación | Marzo 1 de 2011 |
| Fecha de actualización | Enero 26, 2016 |