FRACTURAS.
Las fracturas del humero distal se clasifican en supracondileas y transcondileas.
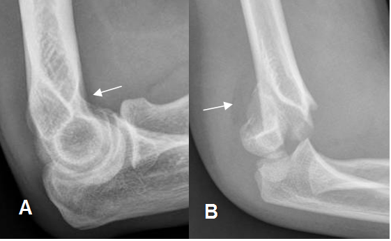
En niños son muy frecuentes las supracondileas y en algunos casos, su diagnóstico (Dx) es difícil. La visualización del cojinete graso posterior es un signo muy sensible y se encuentra en fracturas de la cabeza del radio y supracondileas. (11) (Fig 26, 27, 28 A y 28 B).

Fig 26. Diagrama de los cojinetes grasos
El derrame distiende la cápsula y permite visualizar el cojinete graso anterior (Flecha delgada) y el posterior (Flecha gruesa).

Fig 27. Cojinetes grasos en Rx.
A: Cojinete anterior, en paciente normal.
B: Signos de hemartrosis por fractura supracondilea. Produce desplazamiento del cojinete posterior, hallazgo siempre patológico.

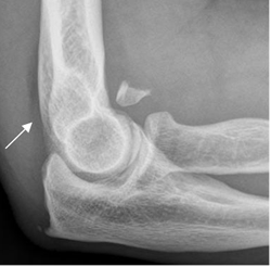
Fig 28 A. Fractura de la cabeza del radio.
Rx lateral, con visualización del cojinete graso posterior.

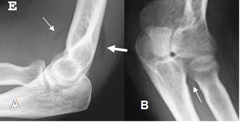
Fig 28 B. Fractura de la cabeza del radio.
A: Rx lateral. Signos de hemartrosis, con visualización del cojinete graso anterior (Flecha delgada) y posterior (Flecha gruesa). Con estos hallazgos, debe sospecharse la presencia de fractura.
B: Rx oblicua. Pequeña fractura desplazada en la cabeza del radio, responsable de la hemartrosis.
La importancia de las fracturas supracondileas, radica en que se asocia con lesiones neurovasculares en algunas oportunidades. (12).
Para el Dx de estas lesiones también se utilizan los signos de la línea humeral anterior y la línea radiocapitelar.
La línea humeral anterior, normalmente pasa por el centro del núcleo de crecimiento del capitel, en niños mayores de 2.5 años. (13). En casos de fracturas, se produce desplazamiento posterior. (11). (Fig 29).

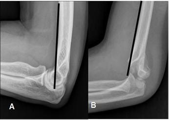
Fig 29. Signo de la línea humeral anterior en Rx lateral.
A: Línea normal, que cruza el capitel.
B: Fractura supracondilea con desplazamiento del capitel, que no es cruzado por la línea humeral anterior.
La línea radiocapitelar trazada por el eje del radio en la línea media, debe cruzar por el centro de capitel. En casos de fracturas, se desplaza. (13). (Fig 30).

Fig 30. Signo de la línea radiocapitelar en Rx lateral.
A: Línea normal, que cruza el centro del capitel.
B: Luxación del radio, con la línea cruzando la parte superior del capitel.
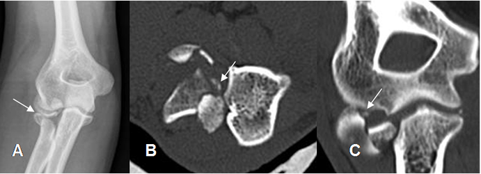
En ocasiones es necesario el complemento con Tomografía Axial Computarizada (TAC), para demostrar fracturas ocultas, caracterizar algunos tipos de fracturas complejas, determinar la presencia de cuerpos libres intra-articulares y planear el procedimiento quirúrgico, en caso de requerirse reducción abierta y fijación interna. (12). (Fig 31 y 32).

Fig 31. Fractura de codo, con cuerpo libre intra-articular.
A: Rx AP. Fractura en la cabeza del radio.
B: TAC axial. Fractura conminuta del radio, con varios fragmentos sueltos.
C: TAC reconstrucción coronal. Cuerpo libre intra-articular.

Fig 32. Cambios postQx.
A: Rx oblicua. Luxofractura del codo, con fragmentos libres en la parte medial y lateral.
B: TAC reconstrucción sagital. Luego de la reducción, se identifica cuerpo libre intra-articular.
C: Rx AP. Fijación posterior con aguja y alambre.
| Fecha de creación | Marzo 1 de 2011 |
| Fecha de actualización | Septiembre 26, 2012 |