EPICONDILITIS MEDIAL.
Es también llamado codo del golfista y se origina por stress repetido del tendón flexor
común superficial de los dedos. (2).
El principal síntoma es el dolor localizado en el epicóndilo medial, origen de los
músculos flexo-pronadores de la muñeca.
Con la Rx simple, puede encontrarse calcificación adyacente al epicóndilo medial, en
los casos crónicos. (Fig 46).

Fig 46. Epicondilitis medial.
A: Rx AP y B: RM coronal en T1. Calcificación sobre el origen de los tendones flexores, por tendinitis crónica.
En la valoración con ecografía, se recomienda hacer un estudio comparativo. (7). Los
tendones se aprecian engrosados o adelgazados, con pérdida del patrón fibrilar normal.
Igualmente hay áreas hipoecoicas y neovascularización con el estudio doppler. (16).
Puede asociarse a la presencia de líquido, osteofitos y calcificación. (7, 16).
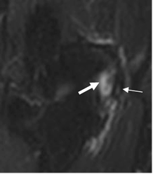
Esta condición es usualmente diagnosticada clínicamente, pero la imagen con RM es utilizada para confirmar el diagnóstico o excluir complicaciones. (3). Con esta modalidad se encuentra aumento en la SI de los tendones, por los cambios inflamatorios, difícil de diferenciar de una ruptura parcial. (3). (Fig 47).

Fig 47. Epicondilitis medial.
RM coronal en STIR. Area hiperintensa en el origen conjunto de los flexores (Flecha delgada), el cual esta rodeado por líquido. (Flecha gruesa).
| Fecha de creación | Marzo 1 de 2011 |
| Fecha de actualización | Septiembre 21, 2011 |