EPICONDILITIS LATERAL.
También conocida como codo del tenista (3) y es la causa más común de dolor en el adulto. (17).
Es ocasionada por proceso inflamatorio, sobre el origen de los músculos extensores. (3).
El tendón mas comúnmente afectado, es el extensor radial breve del carpo. (18).
Varias teorías han sido implicadas en la etiología. Incluyen la inflamación, degeneración y el trauma repetido. (18).
Las zonas de aumento en la SI en la RM, indican edema, tejido de granulación o inflamación.
La presencia de aumento en la SI del músculo anconeo, es un signo sensible de epicondilitis lateral y sirve también para evaluar el grado de enfermedad. (18).
El resto de hallazgos radiológicos, son similares a los descritos en la epicondilitis medial. (Fig 48, 49 A a 49 F).

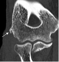
Fig 48. Epicondilitis lateral.
TAC en reconstrucción coronal. Calcificación sobre el origen de los tendones extensores, por inflamación crónica.

Fig 49 A. Epicondilitis lateral.
Ecografía. Origen hipoecoico de los tendones extensores, por epicondilitis.

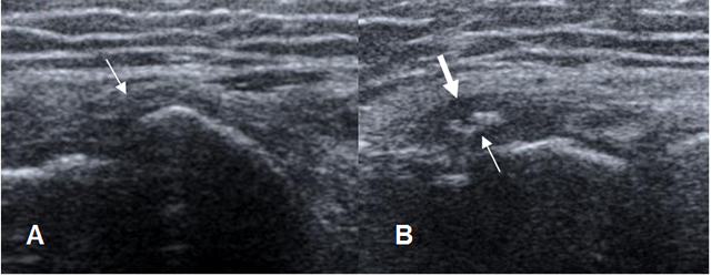
Fig 49 B. Ruptura parcial.
Ecografía en vista longitudinal. Solución de continuidad en fibras, sobre el origen conjunto de
los tendones extensores sobr el epicóndilo lateral, por ruptura parcial.

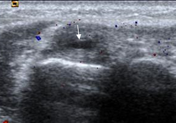
Fig 49 C. Epicondilitis lateral.
Ecografía. Engrosamiento sobre el origen común de los tendones,en el epicóndilo lateral, sin aumento de la vascularización con el estudio doppler. Hay area anecoica intrasustancia, por ruptura parcial.

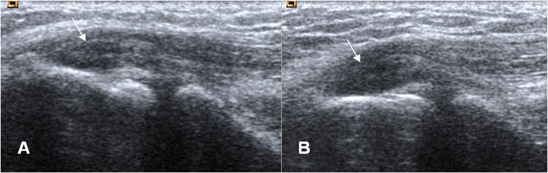
Fig 49 D. Epicondilitis lateral.
A: Ecografía sagital. Apariencia normal en el origen común de los tendones extensores.
B: Ecografía sagital. Origen de tendones engrosado e hipoecoico, por cambios inflamatorios. (Flecha gruesa). Muestra áreas ecogénicas por fibrosis secundaria a tendinitis crónica o ruptura parcial. (Flecha delgada).

Fig 49 E. Epicondilitis lateral.
A: RM T1 coronal y B: RM coronal STIR. Tendon hipointenso en T1 e hiperintenso en STIR a nivel de su origen, por inflamación.

Fig 49 F. Ruptura completa.
A: RM coronal en FFE T” y B: RM coronal en STIR. Ausencia del origen conjunto de los tendones extensores en el epicóndilo lateral, por ruptura retraida.
| Fecha de creación | Marzo 1 de 2011 |
| Fecha de actualización | Diciembre 11, 2016 |