TRAUMA DEL BICEPS.
Las lesiones del bíceps son más comunes en la parte proximal, que la distal (15) y es mas frecuente la ruptura completa, que la parcial. (2).
Su ruptura es rara y clínicamente existe el antecedente de una flexión forzada, con sobrecarga, limitación funcional y el signo de”popeye”, producido por la retracción del vientre muscular. Algo de flexosupinación puede ser conservada, por la integridad de los músculos braquial y supinador. (5).
En la Rx simple, puede encontrarse avulsión de la tuberosidad del radio.
La ecografía tiene las desventajas de ser operador dependiente, su difícil reproductibilidad y la dificultad para valorar completamente el tendón, sobre todo su parte distal. Las ventajas es que permite el estudio comparativo y la exploración dinámica. (15). Con esta modalidad encontramos discontinuidad del tendón y retracción. (Fig 38 A y B).
El método de elección para la exploración de esta patología, es la RM, sobre todo en los
casos de ruptura parcial o en ausencia de retracción. (16).
El trauma del tendón distal del bíceps, es mejor evaluado con secuencias sagitales en T2 o STIR. (3).
En la ruptura parcial, se aprecia el tendón adelgazado. En la completa ausencia, con
presencia de líquido sobre la inserción y retracción en grado variable. (3). (Fig 39, 40 A y 40 B).

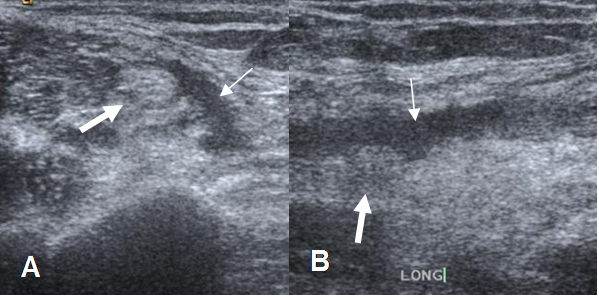
Fig 38 A. Ruptura parcial del biceps.
A: Ecografía transversal y B: Ecografía longitudinal. Músculo biceps adelgazado y con pérdida de su patrón fibrilar (Flecha gruesa), rodeado por líquido (Flecha delgada), secundario a ruptura parcial.

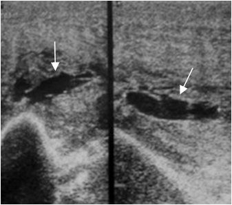
Fig 38 B. Ruptura del biceps.
Ecografía. Pérdida del patrón fibrilar en el biceps, ruptura de algunas fibras y colección en la parte inferior, por lesión muscular tipo 2.

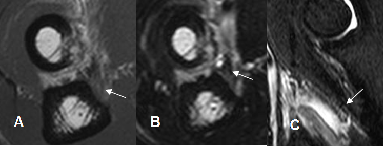
Fig 39. Ruptura parcial en tendón del biceps.
A: RM axial en T1 y B: RM axial en T2. Hiperintensidad sobre la inserción del biceps, por ruptura parcial.
C: RM sagital en STIR. Hiperintensidad en la inserción del bíceps, con cambios inflamatorios asociados.

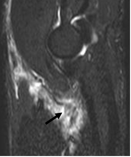
Fig 40 A. Ruptura retraída en tendón del biceps.
RM sagital en STIR. Ruptura retraída del tendón (Flecha), con cambios inflamatorios asociados.

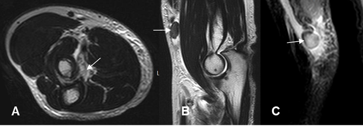
Fig 40 B. Ruptura del bíceps.
A: RM axial en T2: Ausencia del tendón del bíceps a nivel de su inserción, por ruptura.
B: RM sagital en T2 y C: RM sagital en STIR. Ruptura retraida del bíceps, con fragmento óseo asociado, por avulsión.
| Fecha de creación | Marzo 1 de 2011 |
| Fecha de actualización | Diciembre 11, 2016 |