AVULSIONES.
En el codo el mecanismo mas frecuente de las lesiones por avulsión, es el stress en valgo. (14).
En los niños la laxitud ligamentaria produce avulsión del epicóndilo medial, por la tracción producida por los músculos flexopronadores, que allí se originan. En los adultos, este mismo stress origina lesiones ligamentarías. (Fig 35 y 36).

Fig 35. Diagrama de los principales núcleos de crecimiento.

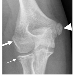
Fig 36. Núcleos de crecimiento del codo normales.
Rx AP. Los últimos en cerrarse son los del radio proximal (Flecha delgada), epicóndilo lateral (Flecha gruesa) y epicóndilo medial (Punta de flecha).
En la Rx se aprecia separación del fragmento óseo y prominencia de los tejidos blandos.
En algunos casos el fragmento desprendido es confundido con un centro de osificación y si no se reconoce, puede evolucionar hasta osteoartritis degenerativa. (14). (Fig 37 A a 37 D).

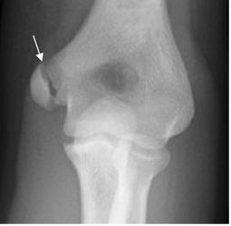
Fig 37 A. Avulsión del codo.
Rx AP. Avulsión no desplazada, del epicóndilo medial.

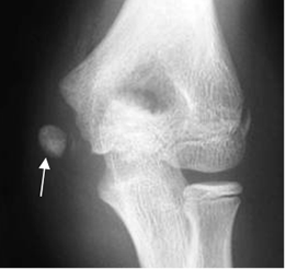
Fig 37 B. Avulsión del codo.
Rx AP. Desplazamiento inferior del núcleo de crecimiento, del epicóndilo medial.

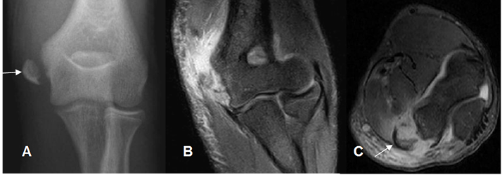
Fig 37 C. Avulsión.
A: Rx AP, B: RM coronal en STIR y C: RM axial en STIR. Avulsión del epicóndilo medial, con cambios inflamatorios en los tejidos blandos.

Fig 37 D. Avulsión olecranon.
A: Rx lateral y B: TAC reconstrucción lateral. Fragmento óseo suelto, por avulsión del olecranon.
| Fecha de creación | Marzo 1 de 2011 |
| Fecha de actualización | Mayo 17, 2015 |