ATRAPAMIENTO NEURAL.
La sintomatología depende del nervio comprometido, la causa y el lugar de la compresión.
En casos de denervación, los cambios se aprecian después de los 30 días, con atrofia muscular e infiltración grasa. (10).
El valor de la RM en este grupo de patologías, es su capacidad para determinar el nivel de compresión y la posible etiología. (10).
NERVIO ULNAR:
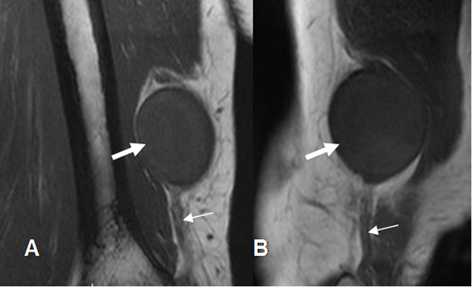
El más frecuente sitio de compresión de este nervio, es por detrás del epicóndilo medial dentro del túnel ulnar. Esta patología puede ser secundaria a lesión traumática, inflamatoria, degenerativa (osteofitos) o lesiones que ocupen espacio como ganglión, bursitis, tumores, etc. (Fig 54 A y 54 B).
El nervio se aprecia hiperintenso en T2, realza con el contraste y comprimido por la patología que lo produce. (10).

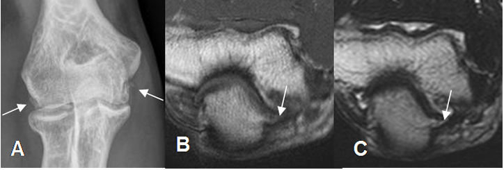
Fig 54 A. Compresión del nervio ulnar.
A: Rx AP. Formación de osteofitos, por enfermedad degenerativa.
B: RM axial en T1 y C: RM axial en T2. Osteofitos dirigidos hacia el canal del ulnar, con pérdida de la grasa, por compresión del nervio.

Fig 54 B. Neurofibroma del ulnar.
A: RM coronal y B: RM sagital en T1. Imagen ovalada y sólida (Flecha gruesa), en relación con el nervio ulnar. (Flecha delgada.)
NERVIO MEDIANO:
Por el largo trayecto de este nervio, puede ser comprimido en diferentes sitios.
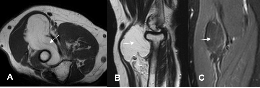
El síndrome del pronador redondo es la principal causa de compresión. En este síndrome, el nervio puede ser comprimido en 4 puntos, pero la más frecuente ocurre entre la porción humeral y ulnar, del músculo pronador. (10). (Fig 55).

Fig 55. Compresión mediano.
A: RM axial en T1, B: RM sagiltal en T2 y C: RM coronal en STIR. Imagen lobulada que sigue la señal de la grasa y corresponde a lipoma. Rodea el tercio proximal del radio y desplaza el nervio mediano.
NERVIO RADIAL:
Este nervio a nivel del codo se divide en rama superficial y profunda y se localiza entre las capas superficial y profunda del supinador.
La principal causa de lesión del nervio es el trauma, asociado a fracturas del humero distal. (10).
Los hallazgos en las compresiones del nervio mediano y radial, son similares a los de la compresión del nervio ulnar.
| Fecha de creación | Marzo 1 de 2011 |
| Fecha de actualización | Mayo 19, 2016 |