ARTROPATIAS.
La articulación del codo puede estar afectada por cualquier tipo de artropatía.
Sus cambios se discutirán mejor en el capitulo dedicado a este grupo de enfermedades, pero se muestran algunos ejemplos. (Fig 56).

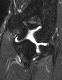
Fig 56. Artritis inespecífica.
RM coronal en STIR. Presencia de derrame articular.
Aspectos claves a tener en cuenta:
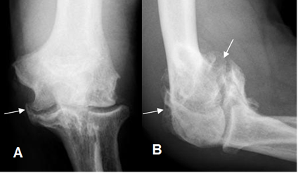
- Artropatía degenerativa: Presencia de osteofitos, disminución no uniforme del espacio articular, esclerosis ósea y quistes subcondrales. El compromiso es asimétrico. (Fig 57 y 58).

Fig 57. Artropatía degenerativa.
A: Rx AP y B: Rx lateral. Cambios degenerativos, con disminución del espacio, esclerosis y formación de osteofitos.

Fig 58. Artropatía degenerativa.
A y B: TAC reconstrucciones sagitales. Formación de osteofitos (Flecha delgada) y quistes subcondrales. (Flecha gruesa).
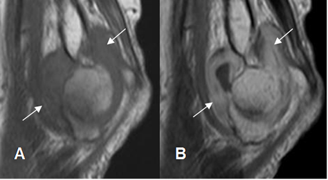
- Artritis reumatoidea: Osteopenia con erosiones óseas, formación de pannus y deformidad. El compromiso es simétrico. En casos avanzados, la disminución del espacio articular es uniforme. (Fig 59 y 60).
Fig 59. Artritis por AR.
A: Rx simple AP. Moderada osteopenia periarticular, con disminución de los espacios articulares y ausencia de osteofitos.
B: RM STIR sagital y C: RM coronal STIR. Presencia de derrame articular (Flecha delgada), con signos de sinovitis. (Flecha negra).

Fig 60. Artritis por AR.
A: RM sagital T1 y B: RM sagital T1, con contraste. Signos de sinovitis, que realza con el contraste en B.
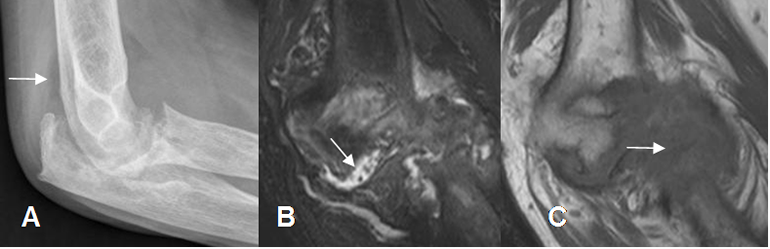
- Artropatía por psoriasis: Lesiones cutáneas y compromiso de tejidos blandos, con dedos en salchicha en las manos. Signos de sinovitis inespecífica. Se acompaña de reabsorción de las falanges distales, sacroileitis y sindesmofitos en la columna. (Fig 61).

Fig 61. Artritis por psoriasis.
A: Rx simple lateral. Moderada osteopenia, con reabsorción de la cabeza del radio y el capitel. Derrame articular, con visualización de los cojinetes grasos.
B: RM STIR coronal y C: RM en T1 coronal. Proliferación sinovial y pannus que rodea la cabeza del radio.
- Síndrome de Reiter: Triada de conjuntivitis, uretritis y artritis. Hallazgos inespecíficos. Orienta el Dx los sindesmofitos en la columna dorsolumbar y la osteítis del calcáneo.
- Artropatía por Gota: Lesiones marginales en sacabocado, de bordes escleróticos y predominio en 1ª articulación tarsometatarsiana. Se acompaña de tofos (Prominencia de tejidos blandos), que pueden calcificarse.
- Artropatía por cristales: Compromiso articular simétrico y bilateral, con calcificaciones lineales de los cápsula, los ligamentos, cartílago articular o los tendones.
- Artritis infecciosa: Compromiso monoarticular, con cambios inflamatorios en los tejidos blandos. Disminución del espacio articular, con grado variable de destrucción ósea.
- Artropatía neuropática: Detección del factor desencadenante o enfermedad asociada. (Trauma, diabetes, siringomelia, sífilis, neuropatía periférica, etc). Manifestada con un patrón hipertrófico similar a la artropatía degenerativa o atrófico, similar a la artropatía infecciosa.
- Espondilitis anquilosante: Hallazgos similares a la AR, pero de menor intensidad. Siempre hay compromiso de las articulaciones sacroiliacas y la columna, con sindesmofitos verticales, por calcificación del anillo fibroso de los discos intervertebrales.
- Sinovitis villonodular pigmentaria: Signos de sinovitis inespecífica. En la RM se encuentran lesiones hipointensas en T2, por la presencia de hemosiderina.
| Fecha de creación |
Marzo 1 de 2011 |
| Fecha de actualización |
Septiembre 28, 2012 |