VALORACION RADIOLOGICA:
Como en todas las articulaciones, se debe iniciar la valoración con radiografía (Rx) simple. Con esta modalidad se pueden identificar lesiones focales, calcificaciones anormales, valorar lesiones traumáticas, etc.
La pelvis se estudia con proyecciones AP y la cadera con AP, axial y otras especiales como obturatriz, alar, outlet, inlet, etc. (Fig 6).

Fig 6. Cadera normal.
A: Rx AP y B: Rx axial de la cadera.
Una Rx de adecuada calidad no debe estar rotada, (Alineación del cóccix con la sínfisis púbica), tener simetría de los agujeros obturadores y una adecuada inclinación pélvica. (Distancia entre borde superior de la sínfisis y extremo del cóccix entre 1 y 3 cm). (4). (Fig 7 y 8).

Fig 7. Técnica radiológica.
Rx AP. Rotación lateral de la pelvis.

Fig 8. Técnica radiológica. Inclinación pélvica.
Rx AP. A: Disminución y B: Aumento de la distancia sacropúbica, por variación en la inclinación pélvica.
Estructuras óseas a tener en cuenta:
Alerón del sacro, iliacos, isquion, ramos ilio e isquiopúbico, sínfisis púbica, cavidad acetabular, cabeza y cuello femoral, trocánter mayor y menor. (Fig 9 y 10).

Fig 9. Estructuras óseas en la pelvis.
Rx AP. I: Iliaco. IS: Isquion. P: Pubis. S: Alerón del sacro. C: Cabeza femoral.

Fig 10. Estructuras óseas en la cadera.
A: Acetábulo. CA: Cabeza femoral. CU: Cuello femoral. MA: Trocánter mayor. ME: Trocánter menor.
En la Rx AP se deben identificar las líneas iliopúbica e ilioisquial, que representan la columna anterior y posterior de la pelvis. Cualquier interrupción en alguna de estas líneas indica fractura o luxación. (5). (Fig 11).

Fig 11. Valoración de pelvis.
Rx AP. Línea ilioisquial (Flecha gruesa) e iliopúbica (Flecha delgada).
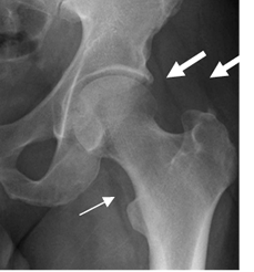
Se deben determinar los bordes anterior y posterior de la cavidad acetabular. Normalmente la pared anterior no se superpone a la posterior, antes del borde lateral. (4). (Fig 12).Si la cruza, origina el signo de cruce positivo e indica sobrecubrimiento posterior o anteversión acetabular. (4).

Fig 12. Cavidad acetabular.
Rx AP. Reborde anterior (Flecha delgada) y reborde posterior (Flecha gruesa).
Signo de la pared posterior: El borde posterior del acetábulo, normalmente es medial al centro de la cabeza femoral. (4). Si lo sobrepasa, indica sobrecubrimiento posterior o retroversión acetabular. (4). (Fig 13).

Fig 13. Sobrecubrimiento posterior.
A: Rx AP. Borde acetabular posterior, medial al centro de la cabeza femoral.
B: Rx AP. El borde acetabular posterior es lateral al centro de la cabeza femoral, por sobrecubrimiento posterior.
El techo acetabular cruza o es lateral a la línea ilioisquiática. Cuando el borde es medial, se considera una coxa profunda. (4). (Fig 14).

Fig 14. Coxa profunda.
A: Rx AP. Coxa normal. El techo acetabular es lateral, a la línea ilioisquial.
B: Rx AP. Coxa profunda. El techo acetabular es medial, a línea ilioisquial.
Existen cojinetes grasos que rodean los músculos glúteos, iliopsoas y obturador, que pueden ser identificados. Aunque son inconstantes, su desplazamiento o desaparición al hacer un estudio comparativo, sugieren la presencia de derrame articular. (5). (Fig 15).

Fig 15. Cojinetes grasos.
Rx AP. Cojinetes normales del iliopsoas (Flecha delgada) y glúteos (Flecha gruesa).
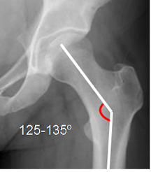
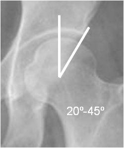
Mediciones importantes a la hora de valorar la patología de la cadera.

Fig 16. Angulo cervicodiafisiario normal.

Fig 18. Angulo de cubrimiento lateral normal.
Rx AP de cadera.
En la cadera se utiliza la ecografía para determinar la presencia de derrame articular y el estudio de la displasia en los recién nacidos.
Se traza el ángulo alfa en una vista coronal, sobre la parte media del acetábulo. Se mide entre la línea de base (Prolongación del iliaco) y la línea del techo óseo (Del borde inferior del iliaco, hasta el extremo óseo del acetábulo). Representa la excavación ósea del acetábulo y su amplitud normal debe ser igual o mayor de 60º y disminuye en casos de displasia. (2, 6). (Fig 19).

Fig 19. Angulos de la cadera.
Ecografía. Línea de base (Flecha delgada), línea del techo óseo (Flecha gruesa) y línea del techo cartilaginoso (Punta de flecha). Angulo alfa normal, con amplitud mayor de 60.
Otra relación que se puede medir es la cobertura acetabular. Además de la línea de base, se trazan otras 2 líneas paralelas al borde superior e inferior de la cabeza femoral. (2). Se mide la relación entre la distancia inferior y superior y se obtiene el porcentaje del cubrimiento, que debe ser mayor del 50% y disminuye en la displasia. (2). (Fig 20).

Fig 20. Cubrimiento de la cadera.
Ecografía. Línea de base, línea superior (Flecha delgada) y línea inferior (Flecha gruesa). La relación entre A/ B, debe ser mayor del 50%.
Las indicaciones específicas para realizar tomografía axial computarizada (TAC), en la cadera, incluyen el trauma, valoración pre y postquirúrgica de la displasia y la revisión de las prótesis. (7). Las reconstrucciones son de mucha utilidad, ya que permiten la valoración tridimensional.
La TAC también es utilizada para la medición del ángulo de anteversión femoral. (7).
La Resonancia Magnética (RM) es el estudio de elección, para la valoración de la cadera. Permite estudiar las estructuras óseas y los tejidos blandos, incluyendo músculos y tendones, ligamentos, espacio articular, etc.
Las secuencias deben incluir cortes axiales, sagitales y coronales.
Los tendones de todos los grupos musculares, se aprecian como estructuras hipointensas en todas las secuencias, en relación con los sitios de origen e inserción. (Fig 21, 22 y 23).

Fig 21. Músculos normales.
A: RM coronal en T1 y B: RM coronal en STIR. Origen de músculos isquiotibiales, hipointensos en todas las secuencias.

Fig 23. Músculos normales.
A: RM axial en T1 y B: RM coronal en T2. Inserción del músculo iliopsoas en el trocánter menor.
En la actualidad la ArtroRM es el gold estándar para determinar la lesión del labrum y cartílago articular. (4).
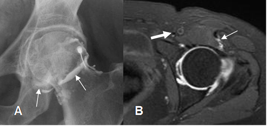
Para realizar la ArtroRM, se prefiere la guía fluoroscópica. Se utiliza un abordaje anterior, con leve rotación interna del muslo. Luego de comprobar la localización intra-articular, con una prueba de contraste yodado, se inyecta la mezcla de gadolinio y solución salina entre unión del cuello y la cabeza femoral, donde la capsula es mas amplia. (8). (Fig 24 y 25).

Fig 24.Técnica de ArtroRM.
A: RM coronal en T2. Lugar mas amplio de la cápsula articular, que se aprovecha para la punción.
B: Rx AP. Extremo de la aguja colocado en la unión entre el cuello y la cabeza femoral.
Fig 25. Técnica de ArtroRM.
A: Rx AP. Confirmación de la localización intra-articular, previo a la inyección de la mezcla de contraste. (Flechas delgadas).
B: RM axial en STIR. Mezcla intra-articular. Trayecto de la aguja dejado por el anestésico local. (Flecha delgada). Vasos femorales mediales y alejados al sitio de punción. (Flecha gruesa).
En la ArtroRM, es importante no confundir el ligamento redondo, con un cuerpo libre. (8). (Fig 26).
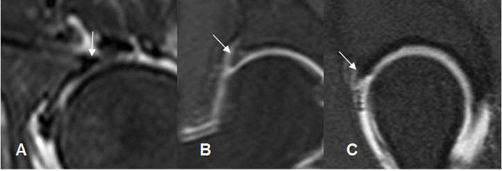
El labrum articular es una estructura triangular e hipointensa en todas las secuencias. (Fig 27 y 28).
El surco sublabral, debe diferenciarse de una ruptura del labrum acetabular. Se localiza en la parte anterosuperior o posteroinferior del acetábulo, adyacentes a la fosa acetabular. (9). Esta estructura se llena de contraste y presenta borde regulares. (Fig 29).

Fig 26. Ligamento redondo normal.
A: ArtroRM coronal y B: ArtroRM axial. Estructura hipointensa medial a la cabeza femoral, que corresponde al ligamento redondo.

Fig 27. Labrum acetabular normal.
A: RM axial en T1 y B: RM coronal en T2. Estructura hipointensa en todas las secuencias, sobre el extremo de la cavidad acetabular.
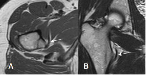
Fig 29. Variante normal.
A: ArtroRM coronal y B: ArtroRM axial en STIR. Defecto en la parte anterosuperior y posterior del labrum, llenos de contraste, que corresponden al surco sublabral normal.
El nervio ciático ocupa una posición profunda en la pelvis, por delante del músculo piriforme. Es una estructura hipointensa, rodeada por grasa y mejor vista cortes axiales. (Fig 30).

Fig 30. Nervio ciático normal.
RM axial en T1.Nervio ciático hipointenso, rodeado por grasa y delante del músculo piriforme. (Flecha gruesa).

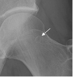
Fig 31A. Variante normal.
Rx AP. Hernia sinovial.

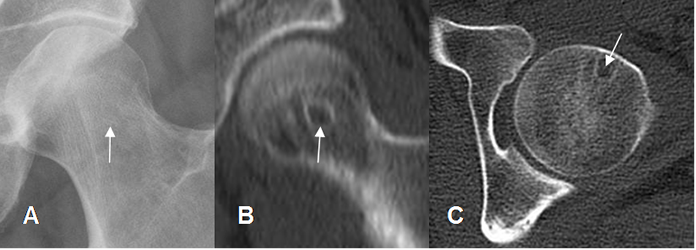
Fig 31 B. Herniación sinovial.
A: Rx AP, B: TAC reconstrucción coronal y C: TAC axial. Imagen redondeada y de bordes escleróticos, localizada en la parte anterior de la cabeza femoral, que corresponde a herniación sinovial.

Fig 32. Variante normal.
Rx AP. Barra trabecular.
| Fecha de creación | Marzo 1 de 2011 |
| Fecha de actualización | Junio 26, 2013 |