FRACTURAS OCULTAS.
Las fracturas de stress por fatiga o insuficiencia, son el resultado de microfracturas continuas, que llevan a un proceso de remodelación ósea. Inicialmente ocurre reabsorción y luego formación de callo. (13).
Son muy comunes en los alerones del sacro, ramos púbicos y la parte interna del cuello femoral. (5).
Las fracturas por fatiga ocurren en un hueso sano, con alto stress. Es común en atletas y militares. (13).
Las fracturas por insuficiencia aparecen en un hueso anormal, que recibe un stress normal y se asocia a patologías que ocasionan osteopenia, (Hiperparatiroidismo, uso esteroides, diabetes, etc.), post-irradiación, enfermedad de Paget, tumores, etc. (12).
Las radiografías pueden ser normales las primeras 2 a 4 semanas de los síntomas. (13). Posteriormente aparece reacción perióstica y una banda densa, que corresponde al callo oseo, con una cortical que se mantiene intacta. Estos cambios se encuentran en la Rx simple y la TAC. (12). (Fig 68, 69, 70, 71 y 72).
En la RM se observa una imagen hipointensa y serpentiginosa en el cuello femoral, en T1 y zona de edema oseo en T2 y STIR. La resolución del edema oseo, puede tardar hasta 6 meses. (5, 13). (Fig 73, 74 y 75).

Fig 68. Fractura del pubis.
A: Rx AP. Cambios degenerativos en la sínfisis púbica e irregularidad en la parte medial del agujero obturador, lo que hace sospechar fractura.
B: TAC axial y C: TAC reconstrucción coronal. Se confirma fractura oblicua, en el pubis derecho.

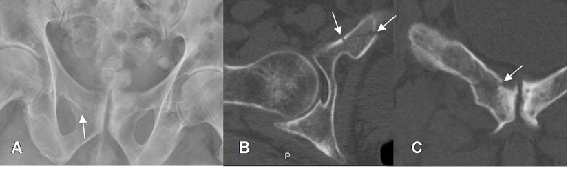
Fig 69. Fractura de stress.
A: TAC axial y B: TAC reconstrucción coronal. Signos de osteopenia, con fractura longitudinal en el alerón del sacro del lado izquierdo.

Fig 70 A. Fractura de stress.
A: Rx lateral. Paciente con antecedente de trauma, sin encontrar fracturas.
B: Rx lateral. Una semana después y con persistencia del dolor. Se encuentra imagen densa y en sentido transverso, a nivel subcapital, que corresponde a la formación de callo óseo.
C: TAC reconstrucción coronal y D: TAC axial.

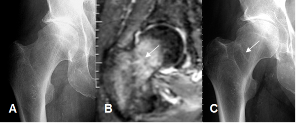
Fig 70 B. Fractura de stress.
A: Rx AP, donde no se detectan anormalidades.
B: RM coronal en STIR: Edema del cuello femoral, con fractura lineal a nivel transcervical.
C: Rx AP. Control luego de 1 mes, donde se aprecia imagen lineal y densa, que corresponde al callo óseo.

Fig 71. Fractura de stress.
TAC axial. Zona de fibrosis en el alerón izquierdo del sacro, resultado de reparación por fractura de stress.

Fig 72. Fractura de stress.
A y B: TAC axial. Formación de callo óseo en el acetábulo derecho y ramo isquiopúbico izquierdo, por fracturas de stress.
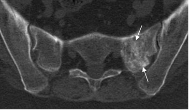
Fig 73. Fractura de stress.
RM coronal en STIR. Edema en el alerón del sacro izquierdo, por fractura de stress.
Fig 75. Fractura de stress.
A: RM coronal en T1 y B: RM coronal en STIR. Igual paciente anterior. También existe fractura no desplazada, en el ramo iliopúbico derecho. (Flechas).
| Fecha de creación | Marzo 1 de 2011 |
| Fecha de actualización | Mayo 2, 2015 |