LUXACION DE CADERA.
La cadera es una articulación muy estable, por lo que su luxación es debida a un trauma muy severo. (2).
La luxación de cadera puede ser anterior, central y posterior.
La posterior es la mas común (1). Ocurre por trauma anterior, con la cadera y rodilla en flexión, por lo que se deben descartar fracturas en estas estructuras y en el acetábulo. (2).
Clínicamente se encuentra la posición de”bañista sorprendida”. (Aducción, flexión y rotación interna del muslo).
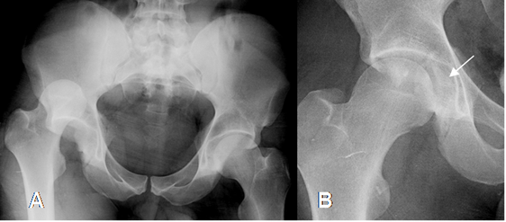
La cabeza femoral, se encuentra por encima del acetábulo en la Rx AP. (2). (Fig 65).

Fig 65. Luxación posterior de cadera.
A: Rx AP. Luxación posterior, con desplazamiento superior de la cabeza femoral derecha.
B: Rx AP. Luego de la reducción, se aprecia fractura del acetábulo con fragmento óseo medial, que impide la completa reducción.
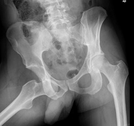
En la luxación anterior, el muslo toma una posición en abducción, flexión y rotación externa. En la Rx AP, la cabeza femoral es anteroinferior a la cavidad acetabular. (2). (Fig 66).

Fig 66. Luxación anterior de cadera.
Rx AP. Luxación anterior con desplazamiento anteroinferior de la cabeza.
En la luxación central, hay impactación y fractura en la pared medial del acetábulo. (Fig 67).

Fig 67. Luxación central de cadera.
A: Rx AP y B: TAC reconstrucción coronal. Fractura conminuta del techo acetabular, con impactación y desplazamiento medial de la cabeza femoral.
| Fecha de creación | Marzo 1 de 2011 |
| Fecha de actualización | Septiembre 21, 2011 |