TRAUMA DE CABEZA FEMORAL.
Hasta 1/3 de las fracturas de la cabeza femoral, pueden pasar desapercibidas en la Rx simple. (1). (Fig 45, 46 y 47).
Este tipo de lesión es mas frecuentes en mujeres y mayores de 50 años, en asocio a la osteoporosis. (1).

Fig 45. Fractura oculta.
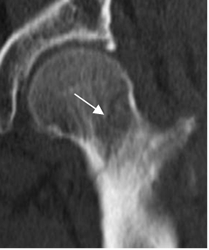
TAC reconstrucción coronal. Fractura transcervical oblicua y lineal, no vista en la Rx simple. ( No mostrada).

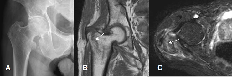
Fig 46. Fractura.
A: Rx AP sin alteraciones.
B: RM coronal en T1 y C: RM axial en STIR. Fractura no desplazada (Flechas), sobre el trocánter mayor.

Fig 47. Fractura.
A: Rx AP. Línea radiolúcida en la cabeza femoral, sugestiva de fractura.
B: RM coronal en T1 y C: RM coronal en STIR. Edema óseo en la cabeza femoral, con imagen hipointensa y en sentido oblicuo, que corresponde a fractura.
Las fracturas de la cabeza del fémur se han clasificados en intra y extracapsulares. Su importancia radica en la suplencia vascular, ya que las intracapsulares tienen mas riesgo de necrosis avascular, que las extracapsulares. (10).

Fig 49. Fractura subcapital.
A y B: Rx AP. Fracturas subcapitales desplazadas.

Fig 50. Fractura transcervical.
A y B: Rx AP. Fracturas transcervicales, no desplazadas.

Fig 51. Fractura basicervical.
A: Rx AP y B: TAC reconstrucción coronal. Fractura basicervical.

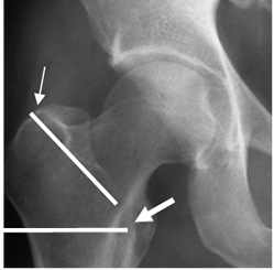
Fig 52. Clasificación de fractura extracapsular.
Rx AP. Fractura intertrocantérica (Flecha delgada) y subtrocantérica (Flecha gruesa).

Fig 53. Fractura intertrocantérica.
A y B: Rx AP. En A fractura lineal y en B fractura desplazada.

Fig 54. Fractura intertrocantérica.
A: Rx AP y B: TAC reconstrucción coronal. Fractura desplazada.

Fig 55. Fractura subtrocantérica.
Rx AP. Fractura conminuta y desplazada.
| Fecha de creación | Marzo 1 de 2011 |
| Fecha de actualización | Junio 26, 2013 |