LESIONES POR AVULSION.
Este tipo de lesiones ocurren mas frecuentemente en jóvenes deportistas, después de una contracción muscular violenta. Produce desplazamiento de las apófisis de los núcleos de crecimiento no fusionados, en los sitios de inserción tendinosa. (14).
En personas adultas, cuando ya se han cerrado los núcleos de crecimiento, se produce lesión de la unión musculotendinosa. (14).
Es claro el antecedente traumático, con limitación funcional y dolor en lugares definidos. (15).
El sitio mas frecuente es la tuberosidad isquiática, donde se originan los tendones de hamstring. De estos, el bíceps femoral es el mas comúnmente lesionado. El siguiente lugar mas frecuentemente lesionado, es la espina iliaca anterior superior, origen del músculo sartorio y el tendón de la fascia lata. A nivel de la sínfisis púbica, se lesionan los músculos aductor mediano, aductor menor y el recto anterior. (15). (Fig 76).

Fig 76. Avulsión.
TAC reconstrucción en 3D. Lugares mas frecuentes de las avulsiones. Tuberosidad isquiática, espina iliaca anterior superior e inferior.
Las avulsiones son detectadas generalmente con Rx, pero puede necesitarse estudio comparativo o complemento con TAC y RM en algunos casos dudosos. (14). (Fig 77 y 78).
Las avulsiones pueden ser desplazadas o no. Las desplazada y con evolución crónica, luego de la formación de callo óseo, puede confundirse con un proceso agresivo, como la osteomielitis o el sarcoma de Ewing. También pueden ocasionar irritación del nervio ciático. (14,16).
Una avulsión sin antecedente de trauma, corresponde a fractura patológica por enfermedad metastásica, hasta que no se demuestre lo contrario. (10, 14). En sitio mas frecuente es el trocánter menor.

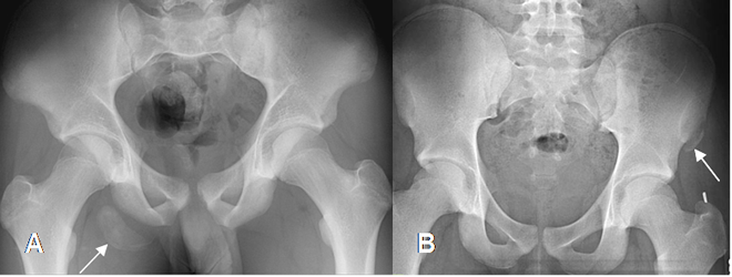
Fig 77. Avulsión.
A: Rx AP. Avulsión de la tuberosidad isquiática derecha.
B: Rx AP. Avulsión de la espina iliaca anterior superior izquierda.
Fig 78. Avulsión.
A: RM coronal en T1 y B: RM coronal en STIR. Cambios inflamatorios sobre la tuberosidad isquiática izquierda por avulsión. Hay retracción en el origen de los isquiotibiales.
| Fecha de creación | Marzo 1 de 2011 |
| Fecha de actualización | Junio 26, 2013 |