TRAUMA DE ACETABULO.
La principal característica de las fracturas acetabulares es su complejidad, con presencia de múltiples fragmentos. (1).
La mas común fractura acetabular, es la que compromete la pared posterior y la menos común, en la pared anterior. (1).
Hasta 1/3 de las fracturas del acetábulo no desplazadas, pueden pasar desapercibidas en las Rx iniciales. Ayuda mucho buscar el signo del obturador interno, donde se pierde el cojinete graso, por edema de tejidos blandos. (3). (Fig 56, 57 y 58).
La TAC es una modalidad muy importante, para la valoración de estas lesiones y detectar la presencia de fragmentos libres intra-articulares, un hallazgo clave que define el manejo. (Fig 59).

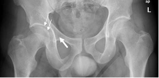
Fig 56. Fractura de acetábulo.
Rx AP. En el lado derecho hay fracturas oblicuas sobre el acetábulo (Flechas delgadas) y en el ramo iliopúbico. (Flecha gruesa). En la cadera izquierda no se aprecian alteraciones.

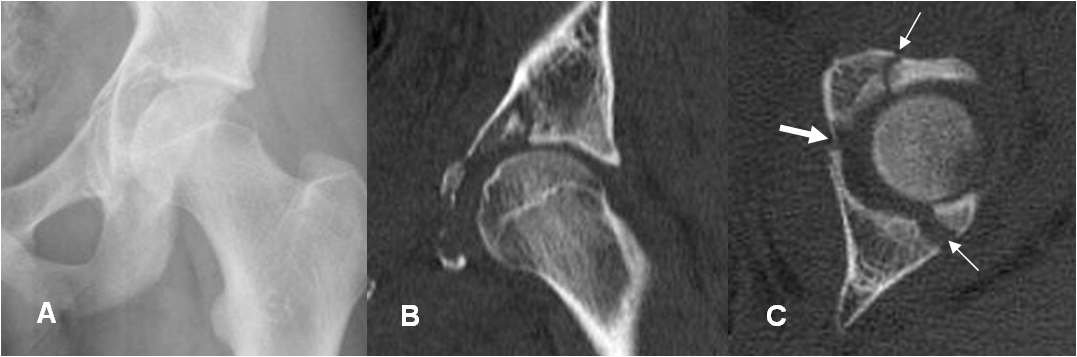
Fig 57. Fractura de acetábulo. Igual paciente anterior.
A: TAC reconstrucción coronal. Fractura oblicua, del techo acetabular.
B: TAC axial. Fractura en la parte anterior y posterior del techo acetabular.
C: TAC axial. Subluxación de la cabeza femoral, con fractura conminuta del reborde posterior.

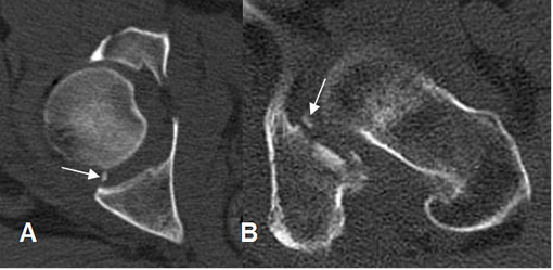
Fig 58. Fractura de acetábulo. Igual paciente anterior.
TAC axial. Fractura del reborde acetabular anterior izquierdo, no sospechada con la Rx simple.
En el lado derecho se aprecian las fracturas ya descritas.

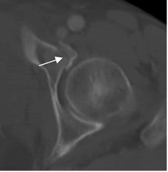
Fig 59. Fragmentos libres.
A y B: TAC axial. Fracturas del acetábulo no mostradas, con fragmentos libre intra-articulares.
Para clasificar las fracturas con TAC, se trazan líneas que pasan por la mitad de la cabeza femoral y otra vertical, sobre el borde interno del acetábulo. La cadera queda dividida de 4 cuadrantes, 2 anteriores y 2 posteriores y 2 mediales o columnas y 2 laterales o paredes. (11). (Fig 60).
De acuerdo con esto Latournel las clasifica en: (11).
Fig 60. Cuadrantes del acetábulo.
TAC axial. PA: pared anterior. PP: pared posterior. CA: columna anterior y CP: columna posterior.
Fig 61. Fractura del acetábulo. Categoría 0.
TAC axial. Fractura de la pared anterior.
Fig 62. Fractura del acetábulo. Categoría 1.
A: TAC axial. Fractura lineal de la columna anterior y B: Fractura lineal de la columna posterior.

Fig 63 A. Fractura del acetábulo. Categoría II.
A: RC axial de cadera. Fractura conminuta e impactada, del techo acetabular y el iliaco.
B: TAC reconstrucción sagital. Fractura conminuta, con compromiso anterior (Flecha delgada) y posterior (Flecha gruesa) del acetábulo.
C: TAC reconstrucción 3D, donde se confirman los hallazgos.

Fig 63 B. Fractura del acetábulo. Categoría II.
A: Rx AP. Fracturas lineales en el techo acetabular y el ramo isquiopúbico.
B: TAC reconstrucción coronal y TAC axial. Fractura del techo acetabular, con compromiso de la columna anterior (Flecha gruesa) y ambas paredes (Flechas delgadas).
Fig 64. Fractura del acetábulo. Categoría III.
TAC axial. Separación del acetábulo, con fracturas conminutas de las columnas anterior (Flecha delgada) y posterior (Flecha gruesa).
| Fecha de creación | Marzo 1 de 2011 |
| Fecha de actualización | Julio 11, 2013 |