PUBALGIA.
Es un término clínico doloroso, también conocido como hernia deportiva. Engloba varias lesiones traumáticas que afectan la inserción púbica del recto abdominal, el origen de los aductores y la sínfisis púbica como tal. (34, 35).
Existen varios grupos: (35).

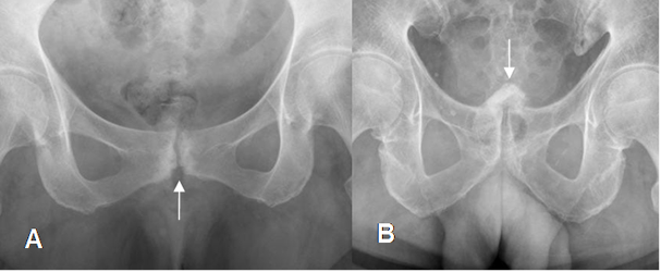
Fig 127. Pubalgia Osea.
A y B: Rx AP. Cambios degenerativos en la sínfisis púbica, con erosión y esclerosis.
En B, existe formación de puente óseo superior.

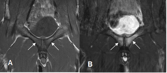
Fig 128. Pubalgia Osea.
A: RM coronal en T1 y B: RM coronal en T2. Lesión osteocondral hiperintensa en ambas secuencias, en el pubis del lado izquierdo.

Fig 129. Pubalgia Osea.
A: RM coronal en T1 y B: RM coronal en STIR. Edema óseo en ambos ramos púbicos, hipointensos en T1 e hiperintensos en STIR.

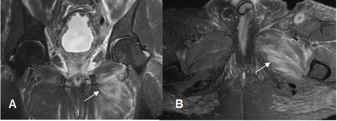
Fig 130. Pubalgia muscular.
A: RM coronal y B: RM axial en STIR. Hiperintensidad del aductor mayor, por lesión muscular grado I.

Fig 131. Dolor referido.
A: RM coronal en T1 y B: RM coronal en T2. Pinzamiento tipo cam, con cambios degenerativos
en el acetábulo y formación de quistes subcondrales en la cabeza femoral.

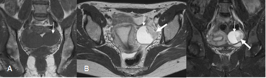
Fig 132. Dolor referido.
A: RM coronal en T1, B: RM axial en T2 y C: RM coronal en STIR. Lesión de consistencia líquida sobre el ovario izquierdo, con porción sólida en la parte externa, (flecha gruesa) que corresponde a quiste complejo.

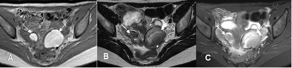
Fig 133. Dolor referido.
A: RM axial en T1, B: RM axial en T2 y C: RM axial en STIR. Imágenes redondeadas en ambos ovarios, con señal heterogénea. Son hiperintensos en T1 y hipointensos en T2, por la presencia de sangre subaguda, en una paciente con endometriosis.
| Fecha de creación | Marzo 1 de 2011 |
| Fecha de actualización | Agosto 13, 2013 |