CAMBIOS POSTQUIRURGICOS.
La hemiartroplastia unipolar, se refiere al reemplazo solo de la cabeza femoral que se realiza en casos de osteonecrosis o fracturas de la cabeza femoral, cuando el cartílago está conservado y no hay cambios de osteoartrosis. (31).
Se ha encontrado que con el tiempo se producen cambios degenerativos en el acetábulo, por lo que se realiza la artroplastia total. (31). (Fig 117).

Fig 117. Cadera Post-quirúrgica.
Rx AP. Hemiartroplastia unipolar en el lado derecho y bipolar en el izquierdo.
El componente acetabular es colocado con una inclinación lateral de 40º, en relación con la vertical. Se mide en una Rx AP de pelvis, trazando un ángulo entre el borde inferior de la copa acetabular y la línea que une el borde inferior de las tuberosidades isquiáticas. (32). (Fig 118).

Fig 118. Angulo de inclinación normal.
Rx AP. Medido entre la inclinación del componente acetabular y una línea que une las espinas isquiáticas.
Principales complicaciones de la artroplastia de cadera:

Fig 119. Aflojamiento.
A: Rx AP. Aflojamiento de la prótesis, con un espacio mayor de 2 mm.
B: TAC reconstrucción coronal. Aflojamiento de la prótesis.

Fig 120. Luxación de prótesis.
A: Rx AP. Luxación superior de prótesis unipolar.

Fig 121. Luxación de la prótesis.
A: Rx AP. Subluxación de la prótesis.
B: Rx AP. Luxación de prótesis bipolar, con desplazamiento de los componentes acetabular y femoral.

Fig 122. Riesgo de luxación de la prótesis.
Rx AP. Incremento del ángulo de inclinación acetabular (60º), existiendo alto riesgo de luxación de la prótesis.

Fig 123. Colección PostQx.
A: Rx AP, B: TAC axial y C: TAC reconstrucción coronal. Colección de tejidos blandos en el PostQx temprano, después de la colocación de un reemplazo de cadera.

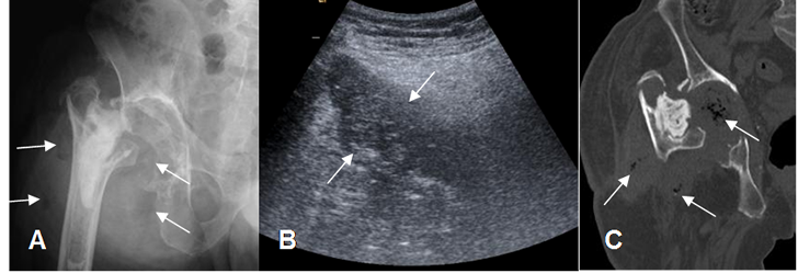
Fig 123 A. Infección.
A: Rx AP. Infección en la prótesis bipolar, por lo que se retira. Hay luxación de la cabeza femoral, edema de tejidos blandos y burbujas de aire. (Flechas).
B: Ecografía. Imagen redondeada y heterogénea en los tejidos blandos, que corresponde a colección.
C: TAC reconstrucción coronal. Edema de tejidos blandos y presencia de colección sobre la cavidad acetabular, con burbujas de aire. (Flechas).

Fig 124. Infección.
A: Rx AP. Material de osteosíntesis en la cabeza femoral, sin cambios óseos asociados.
B: RM coronal en STIR. Presencia de colecciones en los tejidos blandos, por infección postquirúrgica.

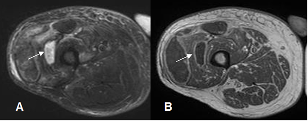
Fig 125. Infección.
A: RM axial en STIR y B: RM axial en T1 con contraste. Igual paciente anterior. Infección postquirúrgica de tejidos blandos, los cuales están edematizados. Hay colección líquida, cuyos bordes realzan con el contraste, por la formación de absceso.

Fig 126 A. Osificación heterotópica.
A: y B: Rx AP. Calcificación anormal por encima del trocánter mayor y sobre el trocánter menor en A y por debajo del acetábulo en B, por osificación heterotópica.
Adicionalmente en A, hay aumento del ángulo de inclinación de la prótesis, que después se luxó.

Fig 126 B. Granulomatosis agresiva.
Rx AP. Zonas líticas rodeando la copa acetabular y el vástago, por aflojamiento
y granulomatosis agresiva.

Fig 126 C. Granulomatosis agresiva.
A: Rx AP. Aumento de la lucencia periprotésica, que indica aflojamiento. (Flechas delgadas).
B: TAC reconstrucción coronal en ventana de hueso y C: TAC reconstrucción coronal en ventana de tejido. Adicionalmente hay zona de osteolisis en el trocánter mayor (Flecha gruesa) y otra lesión osteolítica en el ramo isquiopúbico. (Cabeza de flecha).

Fig 126 D. Granulomatosis agresiva.
A: TAC axial en ventana de tejido y B: TAC axial en ventana de hueso. Igual paciente anterior. Osteolisis en el trocánter mayor (Flecha gruesa) y otra lesión osteolítica con masa de tejidos blandos, en el ramo isquiopúbico. (Flechas delgadas).

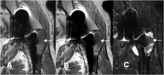
Fig 126 E. Granulomatosis agresiva.
A: RM coronal en T1, B: RM coronal en T2 y C: RM coronal en STIR. Igual paciente anterior. Artefactos metálicos producidos por la prótesis, la cual está rodeada por líquido. En el trocánter mayor hay zona de fibrosis, hipointensa en todas las secuencias.

Fig 126 F. Granulomatosis agresiva.
A: RM coronal en T1, B: RM coronal en T2 , C: RM coronal en STIR y D: RM coronal en T1 con contraste. Igual paciente anterior. La imagen del ramo isquiopúbico muestra consistencia quística y realce periférico del contraste.
| Fecha de creación | Marzo 1 de 2011 |
| Fecha de actualización | Agosto 13, 2013 |