PINZAMIENTO ACETABULAR.
El pinzamiento es un síndrome clínico, donde hay un contacto anormal entre la cavidad acetabular y la cabeza femoral. (22).
Esta alteración si no es tratada, progresa y es una importante causa de artropatía degenerativa en personas jóvenes. (23).
Los pacientes se quejan de dolor con la rotación de la cadera, sentados o luego de realizar alguna actividad deportiva. Clásicamente hay limitación en la movilidad, antes de que aparezcan los síntomas entre la 2º y 3º década. (24,25).
El pinzamiento frecuentemente es bilateral, aunque los síntomas sean unilaterales, por lo que se recomienda la valoración de ambas caderas. (24).
El microtrauma repetido de las estructuras óseas ocasiona irritación, degeneración del labrum y lesión condral, que evoluciona a artropatía degenerativa. (26). (Fig 90, 91 y 92).

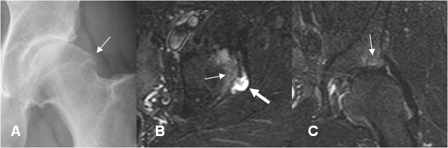
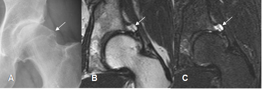
Fig 90. Edema óseo.
A: Rx AP. Prominencia del borde cervicodiafisiario.
B: RM axial y C: RM coronal en STIR. Se aprecia edema óseo del acetábulo, por el microtrauma repetido. Adicional hay quiste paralabral.

Fig 91. Artropatía degenerativa.
A: Rx AP. Pinzamiento mixto, con disminución del espacio articular, esclerosis y formación de osteofitos.
B: Rx AP. Progresión de los cambios, con aparición de lesión osteocondral en el acetábulo.

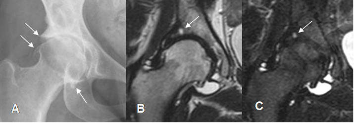
Fig 92. Artropatía degenerativa.
A: Rx AP. Disminución asimétrica del espacio articular y formación de osteofitos.
B: RM coronal en T2 y C: RM coronal en STIR. Además de los osteofitos, existe lesión osteocondral en el borde acetabular superior.
Dependiendo de la clínica y las características radiológicas, puede clasificarse en tipo CAM o PINCER, aunque la mayoría de los pacientes tienen una combinación. (26).
La ArtroRM es la prueba de elección para la valoración del pinzamiento femoroacetabular. La utilización de tracción femoral, aumenta la sensibilidad para detectar lesiones del cartílago. (28).
La mas común lesión encontrada es la ruptura del labrum, que ocurre en la parte anterior o anterosuperior. Se diagnostica por la presencia de contraste dentro del labrum o atravesándolo. (8, 29). (Fig 110, 111, 112, 113 y 114).
Es importante diferenciar la ruptura labral, del surco sublabral normal, para no cometer equivocaciones. (29).
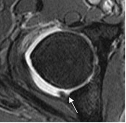
El desplazamiento del labrum o un quiste paralabral asociado, aumentan la sensibilidad. (8,22). Dependiendo de la presión intra-articular, estos quistes se pueden llenar o no de contraste, por lo que se recomienda realizar secuencia en T2, para que no pasen desapercibidos. (8). (Fig 115).
Los pacientes con pinzamiento tipo pincer, tienen mas severos daños del cartílago posterior, que los del tipo cam. (25).
Hay descrita la triada del pinzamiento tipo cam, con ángulo alfa aumentado, daño del cartílago anterosuperior y ruptura labral. (30).

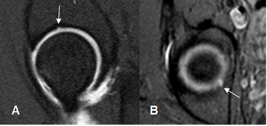
Fig 110. Lesión del cartílago.
A: ArtroRM sagital y B: ArtroRM axial en STIR. Presencia de contraste dentro del cartílago acetabular, por lesión.

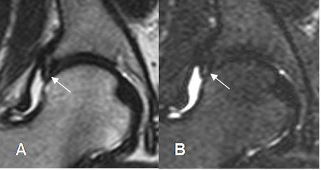
Fig 111. Degeneración del labrum.
A: RM coronal en T2 y B: RM coronal en STIR. Zona hiperintensa en el labrum, por degeneración. No hay paso del contraste a su interior, descartando la ruptura.
Fig 112. Ruptura del labrum.
A: Rx AP y B: ArtroRM axial oblicua en STIR. Signos de pinzamiento tipo cam, con un ángulo de 84º.
C: ArtroRM coronal en STIR. Defecto del labrum superoexterno, por ruptura. (Flecha gruesa).
Adicionalmente hay irregularidad y lesión del cartílago acetabular. (Flechas delgadas).
Fig 113. Ruptura del labrum.
A: Rx AP. Signos de pinzamiento tipo pincer.
B: ArtroRM coronal en STIR. Defecto del labrum superior, por ruptura. (Flecha gruesa).
Fig 114. Ruptura del labrum.
B: ArtroRM axial en STIR. Defecto del labrum posterior, por ruptura.
Fig 115. Quiste paralabral.
A: Rx AP. Prominencia del borde lateral de la cebaza femoral, por pinzamiento tipo cam.
B: RM coronal en T2 y C: RM coronal en STIR. Imagen quística e hiperintensa en ambas secuencias, hacia la región superoexterna del reborde acetabular, que corresponde a quiste paralabral.
El diagnóstico de ruptura de la cápsula se hace por la presencia de contraste, pasando por el defecto. Se debe estar seguro de que la técnica fue correcta y no hubo aplicación extracapsular del contraste. (8). (Fig 116).

Fig 116. Ruptura de la cápsula.
A: Artrografía AP de cadera. Cúmulo anormal del contraste, en la región inferomedial de la articulación.
B: ArtroRM axial en STIR. Ruptura de la cápsula en la parte anterior, con fuga del contraste. (Fecha gruesa).
| Fecha de creación | Marzo 1 de 2011 |
| Fecha de actualización | Julio 11, 2013 |