OSTEOPOROSIS TRANSITORIA.
Es una patología que debe ser incluida en el diagnóstico diferencial del dolor de cadera. (5).
Su etiología es desconocida y aunque fue inicialmente descrita en mujeres embarazadas, es mas frecuente en hombres jóvenes y de edad media. (21).
Generalmente es unilateral y puede asociarse con fracturas por insuficiencia. (39).
Su diagnóstico es de exclusión y es autolimitada, con completa resolución de los síntomas y hallazgos radiológicos entre 6 y 12 meses. (5, 21).
La RM es mas sensible que la TAC y la gamagrafía, para detectar los casos tempranos, con Rx normal. (39).
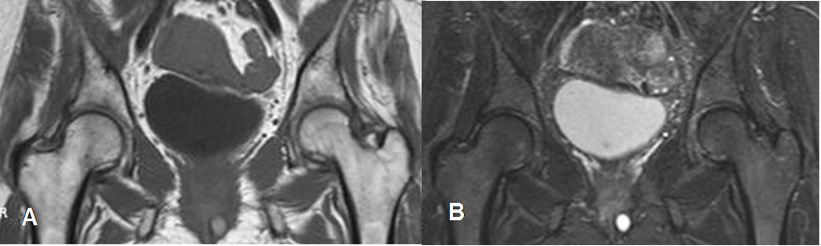
En la RM se aprecia edema difuso, con disminución uniforme en la SI en T1 y aumento en T2, con derrame asociado. (21, 40). (Fig 88 A y 88 B).
Debe diferenciarse de tumores, osteomielitis, artritis séptica y necrosis avascular. (21).
La ausencia de alteraciones subcondrales de baja señal o líneas hipointensas epifisiarias paralelas a la superficie condral, corresponde siempre a osteoporosis transitoria. (39, 40). (Fig 89).
Se encuentra aumento de la difusión en la osteonecrosis y la osteoporosis transitoria, existiendo en esta última entidad realce difuso y tardío del contraste. (39).

Fig 88 A. Osteoporosis transitoria.
A: Rx AP. Paciente postcesárea, con dolor en ambas caderas. Se aprecia moderada osteopenia, en las cabezas femorales.
B: RM coronal en T1 y C: RM coronal en STIR. Edema en ambas cabezas femorales, con moderado derrame asociado.

Fig 88 B. Osteoporosis transitoria.
A: RM coronal en T1 y B: RM coronal en STIR. Igual paciente anterior. Normalización de los cambios, después de 3 meses.

Fig 89. Osteonecrosis.
A: RM coronal en T1 y B: RM coronal en STIR. Edema trabecular en la cabeza femoral, hipointensa en T1 e hiperintensa en STIR. Hay imagen subcondral hipointensa y paralela a la superficie condral en ambas secuencias, por osteonecrosis.
| Fecha de creación | Marzo 1 de 2011 |
| Fecha de actualización | Marzo 24, 2012 |