OSTEONECROSIS.
La cadera femoral es la localización mas frecuente de la osteonecrosis, por las características de su irrigación, ya que la parte proximal es muy poco vascularizada. (2).
Aunque la causa mas común es la fractura del cuello femoral, (2), es una patología que se asocia a varias alteraciones que incluyen el uso de esteroides, alcoholismo, pancreatitis, anemia drepanocítica, etc. (17). (Fig 79).
Hay un número significativo de pacientes, donde no se identifica un evento desencadenante. (2).
El objetivo del estudio por imágenes es hacer un diagnostico precoz, para iniciar la terapia y prevenir la destrucción osea. (17). Así mismo valorar la cadera contralateral, porque en muchos casos de origen no traumático, también está comprometida. (2).
Clínicamente los pacientes se quejan de dolor.
El signo mas precoz de osteonecrosis en la Rx simple, es la osteoporosis de la cabeza femoral, por la reabsorción del hueso normal vascularizado. Este signo es muy sutil, puede asociarse a mínimo colapso y es mejor visto en la proyección axial. (5).
Algunas escuelas proponen repetir la Rx después de 4 a 6 semanas. (18). Se puede encontrar progresión de las lesiones no vistas inicialmente, cambios de osteoporosis transitoria, fracturas subcondrales, reacción perióstica por fractura de stress, disminución del espacio articular por osteoartritis rápidamente progresiva, etc. (Fig 80).
Si la Rx no muestra variación o existen dudas, se sugiere complementar con RM. (18).

Fig 79. Osteonecrosis bilateral.
A: Rx AP y B: TAC reconstrucción coronal. Osteonecrosis bilateral de caderas, en una niña con anemia drepanocítica.

Fig 80. Artropatía rápidamente progresiva.
A: Rx AP. Signos de osteoartrosis.
B: 3 meses y C: 6 meses después. Progresión de los cambios degenerativos, con deformidad de la cabeza femoral y ensanchamiento de la cavidad acetabular.
La gamagrafía ósea es mas sensible que la Rx, para detectar la enfermedad inicial, pero la mayoría de autores concluyen que la RM es la técnica de elección. (19).
El primer signo de osteonecrosis en la RM es la disminución en la SI en T1, aunque es un hallazgo inespecífico. (7). (Fig 81).
La presencia del signo de la doble línea hiperintensa en T2, es un hallazgo específico de necrosis. (7, 17, 19). Representa el tejido reactivo entre la medula osea normal y la medula infartada. (7,17). (Fig 82).
Con la isquemia prolongada y la aparición de necrosis, el hueso se aprecia hipointenso en T1 e hiperintenso en T2. (17). Finalmente cuando se establece la fibrosis es hipointensa en ambas secuencias. (17). (Fig 83, 84 A y 84 B).

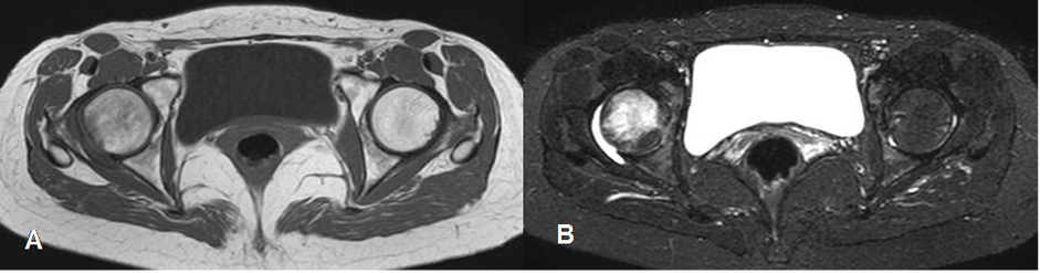
Fig 81. Osteonecrosis.
A: RM axial en T1 y B: RM axial en STIR. Edema óseo inespecífico en la cabeza femoral derecha, hipointenso en T1 e hiperintenso en STIR. Hay escaso derrame asociado.

Fig 82. Osteonecrosis.
A y B: RM coronal en T2. Signo del doble halo. Reborde hiperintenso en T2, específico de osteonecrosis.
Existe una clasificación que correlaciona los cambios histopatológicos, con los hallazgos por imagen: (7).
Clase SI en T1 SI en T2 Análogo
A Hiperintenso Intermedio Grasa
B Hiperintenso Hiperintenso Sangre subaguda (Fig 83 A).
C Hipointenso Hiperintenso Líquido (Fig 83 B).
D Hipointenso Hipointenso Fibrosis (Fig 84 A y B).

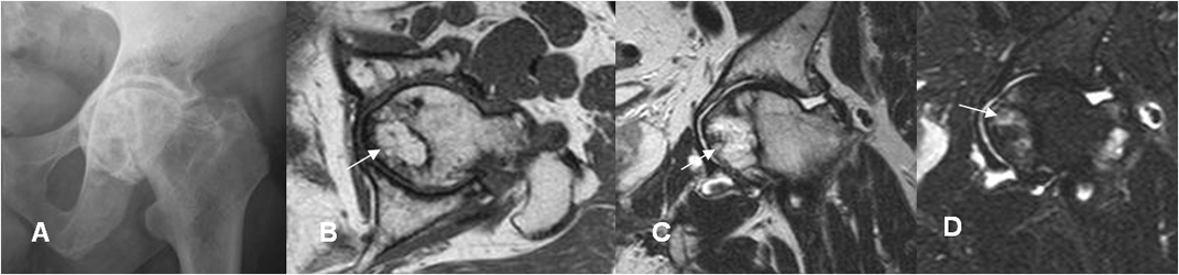
Fig 83 A. Osteonecrosis clase B.
A: Rx AP. Alteración en la densidad de la cabeza femoral. Adicionalmente hay signos de coxa profunda y sobrecubrimiento acetabular posterior, por pinzamiento tipo CAM.
B: RM axial en T1, B: RM coronal en T2 y D: RM coronal en STIR. Se identifica lesión geográfica en la parte interna de la cabeza femoral, hiperintensa en T1 y T2, con edema trabecular en algunas zonas, por osteonecrosis clase B.

Fig 83 B. Osteonecrosis. Clase C.
A: RM coronal en T1, B: RM coronal en T2 y C: RM coronal en STIR. Zona hipointensa en T1, hiperintensa en T2 y STIR, en la parte superior de la cabeza femoral, por osteonecrosis subaguda.

Fig 84 A. Osteonecrosis. Clase D.
A: Rx AP. Aumento de la densidad en la parte superior de las cabezas femorales, por osteonecrosis. Adicionalmente hay prominencia de los bordes laterales de las cabezas femorales, por pinzamiento tipo CAM.
B: TAC reconstrucción coronal y C: TAC axial. Lesiones geográficas en las cabezas femorales, de bordes escleróticos, por osteonecrosis.

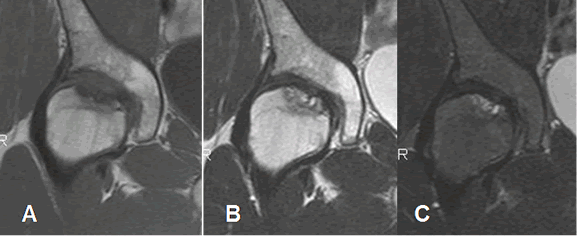
Fig 84 B. Osteonecrosis. Clase D.
A: Rx AP. Aumento de la densidad en el borde superior de las cabezas femorales, por osteonecrosis de evolución crónica.
B: RM coronal en T1, C: RM coronal en T2 y D: RM coronal en STIR. La parte superior de las cabezas es hipointensa en todas las secuencias, por fibrosis, secundaria a osteonecrosis crónica.
El cálculo de la extensión de necrosis, se realiza en secuencias de T1, identificando el área hipointensa. Se clasifica como leve: menor del 15%, moderado de 15 a 30 y severo mayor del 30%. (20). (Fig 85).
Cuando el compromiso de la cabeza femoral es mayor al 50% de su circunferencia, el riesgo de colapso es muy alto. (7). (Fig 86 y 87).

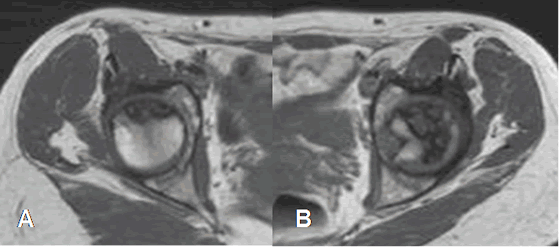
Fig 85. Osteonecrosis. Porcentaje de compromiso.
A y B: RM axial en T1. Osteonecrosis de la cabeza femoral entre el 15 y 30% en A y mas del 30% en B.

Fig 86. Osteonecrosis.
A: Rx digital AP, B: TAC reconstrucción coronal y C: RM axial en T1. Osteonecrosis que compromete mas del 50% de la cabeza femoral, con gran riesgo de colapso.

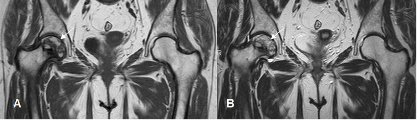
Fig 87. Osteonecrosis con colapso.
A: RM coronal en T1y B: RM coronal en T2. Pérdida de altura en la cabeza femoral derecha, por osteonecrosis de evolución crónica.
| Fecha de creación | Marzo 1 de 2011 |
| Fecha de actualización | Julio 11, 2013 |