LESIONES MUSCULARES.
Las injurias tendinosas pueden ser clasificadas en tendinitis, tenosinovitis y ruptura parcial o completa. Pueden coexistir y se superponen, siendo a veces indistinguibles con RM.
TENDINOSIS:
En ella encontramos degeneración, con cambios inflamatorios o no del tendón y neovascularización secundario a la hiperplasia angiofibroblástica.
Con la Rx simple se aprecia calcificación sobre los sitios de inserción o en el mismo tendón. (Fig 134 y 135).
En la ecografía existe engrosamiento de las fibras, con neovascularización, que es identificada con el análisis doppler. Pueden verse áreas hiperecoicas por fibrosis reparativa o calcificaciones.
En la RM se aprecia un tendón engrosado, con zonas de aumento en la SI de T1, T2 y STIR. (Fig 136 y 137).

Fig 134. Tendinitis crónica.
A: Rx AP. Calcificaciones gruesas en el origen de los isquiotibiales.

Fig 135. Tendinitis crónica.
A: TAC axial y B: TAC reconstrucción coronal. Calcificación de la inserción del iliopsoas en el trocánter menor, por tendinitis crónica.

Fig 136. Tendinitis.
A: Rx AP y B: RM coronal en T1. Tendinitis crónica con formación de osteofito en la parte superior del trocánter mayor.
C: RM coronal en STIR. Aumento en la señal sobre la inserción del glúteo mediano, por tendinitis aguda.
Fig 137. Tendinitis.
A: RM axial y B: RM coronal en STIR. Tendinitis del obturador interno, con aumento en su SI.
TENOSINOVITIS:
Es la inflamación de la vaina tendinosa, por sinovitis, infección o irritación mecánica.
Con la ecografía se identifica líquido rodeando el tendón, apareciendo como signo de target en plano axial y de la carrilera en el longitudinal.
En la RM se observa líquido y proliferación de la sinovial. Luego de la administración de contraste, hay realce del tendón.
El diagnóstico diferencial debe incluir la bursitis. (Fig 138 y 139).

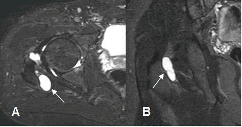
Fig 138. Bursitis.
A: RM axial y B: RM coronal en STIR. Imagen ovalada y de consistencia quística en relación con el músculo obturador interno, por bursitis.
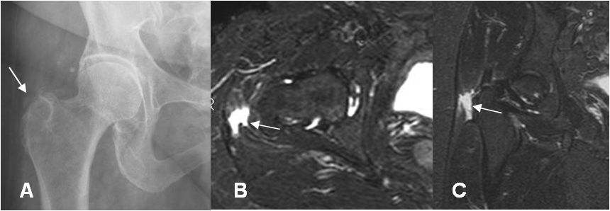
Fig 139. Bursitis.
A: Rx AP. Calcificación proyectada por encima del trocánter mayor.
B: RM axial y C: RM coronal en STIR. Líquido rodeando la parte lateral del trocánter mayor, por bursitis.
RUPTURA:
Este tipo de lesiones se discute mejor en el capítulo de lesiones musculares.
En la ruptura parcial se identifica área de aumento de la SI dentro del tendón, en DP y T2, similar a los cambios por tendinosis. (Fig 140).
Con la ruptura completa se aprecia solución de continuidad de las fibras, con espacio hiperintenso en T2 entre los extremos, por edema y hemorragia. (Fig 141 A y B).
En los casos crónicos el espacio puede ocuparse por tejido de granulación o grasa.

Fig 140. Ruptura parcial.
A: RM axial en T1 y B: RM axial en STIR. Alteración en la señal y configuración del músculo obturador externo, con ruptura de algunas fibras. Existe artefacto, ocasionado por prótesis de cadera.

Fig 141 A. Ruptura muscular.
A: RM coronal en T1, B: RM coronal en STIR y C: RM axial en T2. Solución de continuidad en la mayoría de fibras, sobre el origen de los isquiotibiales del lado derecho, por ruptura no retraida.

Fig 141 B. Ruptura muscular.
A: Ecografía longitudinal. Colección líquida, que corresponde a hematoma.
B: RM coronal en T2 y C: RM coronal en STIR. Ruptura en el origen de los isquiotibiales, con extremo retraído. (Flechas delgadas). Existe hematoma intermuscular asociado. (Flecha gruesas).
| Fecha de creación | Marzo 1 de 2011 |
| Fecha de actualización | Mayo 2, 2015 |