GENERALIDADES CADERA.
Aunque la cadera es una articulación esferoidea y con gran arco de movimiento, es muy estable, debido a las características óseas y cartilaginosas de la cabeza femoral y la cavidad acetabular. La porción osea del acetábulo, cubre el 40% de la cavidad, en todas las posiciones de movimiento y el labrum articular incrementa esta cobertura en un 10 a 15%. (1).
El hueso iliaco está formado por la fusión de los huesos ilion, isquion y pubis, que se fusionan y su centro coincide con el centro del acetábulo. (2).
La pelvis osea está estabilizada por los ligamentos sacroiliacos anteriores y posteriores,
sacroespinosos, sacrotuberosos y los de la sínfisis púbica. (3). (Fig 1 y 2).

Fig 1. Ligamentos normales de la pelvis.
TAC 3D. Ligamentos sacroiliaco posterior (SIP) y sacroiliaco anterior (SIA), sacroespinoso (SE) y sacrotuberoso (ST). Sínfisis púbica. (SP).
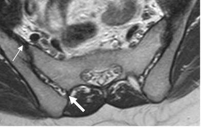
Fig 2. Ligamentos normales de articulación sacroiliaca.
RM axial en T1. Ligamento sacroiliaco anterior (Flecha delgada) y posterior (Flecha gruesa).
La articulación de la cadera mantiene su fijación por los ligamentos iliofemoral, isquiofemoral y pubofemoral. (1). (Fig 3 y 4).

Fig 3. Ligamentos normales de articulación de la cadera.
A: TAC 3D vista anterior y B: TAC vista posterior. Ligamentos iliofemoral (IF), pubofemoral (PF) e isquiofemoral (ISF).
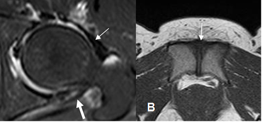
Fig 4. Ligamentos normales de la cadera.
A: ArtroRM axial en STIR. Ligamentos normales iliofemoral (Flecha delgada) e isquiofemoral (Flecha gruesa).
B: RM axial en T1. Ligamento normal de la sínfisis púbica.
Los diferentes movimientos, dependen de varios grupos musculares:
La irrigación de la cabeza femoral, está dada principalmente por ramas de las arterias circunflejas. Su importancia radica en que los vasos se dirigen de distal a proximal, por lo que la porción superior de la cabeza femoral es muy poco vascularizada. (Fig 5).
Fig 5. Diagrama irrigación de la cadera.
Región proximal poco vascularizada.
| Fecha de creación | Marzo 1 de 2011 |
| Fecha de actualización | Septiembre 21, 2011 |