DISPLASIA DE CADERA.
Alteración en el desarrollo de la cadera, que es más frecuente en las mujeres y en el lado izquierdo. (2). Son factores de riesgo la presentación podálica y el antecedente familiar. (2).
Es importante hacer un diagnóstico precoz, lo que permite la corrección en casi todos los casos, con el manejo apropiado.
La elección de la prueba inicial, depende de la edad del paciente. En los recién nacidos se prefiere la ecografía y en los lactantes, la Rx simple. (2).
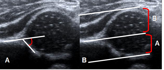
El ángulo alfa es importante para la valoración de la displasia de cadera. Un ángulo mayor de 60º es normal para cualquier edad. Entre 50º y 59º, puede ser normal para niños menores de 3 meses, pero se recomienda el seguimiento y un ángulo menor de 50º, es anormal en cualquier edad. (2). (Fig 33 A).
La displasia se puede clasificar en severa: ángulo menor de 43º, moderada: entre 43º y 49º y leve: entre 50º y 59º. (6). (Fig 33 B).
También existe disminución del porcentaje de cubrimiento acetabular. (2). (Fig 34).

Fig 33 A. Cadera inmadura.
A y B: Ecografías. Angulos alfa entre 50 y 60º, por caderas inmaduras y se recomienda el seguimiento.
Fig 33 B. Displasia de cadera.
Ecografía. A: Disminución del ángulo alfa (50º) y B: Disminución de la relación A/B, por displasia.

Fig 34. Displasia de cadera.
A y B: Ecografía. Disminución del ángulo alfa (43º), por displasia. En B hay desplazamiento superior de la cabeza femoral, por luxación.
C: Rx AP. El mismo paciente con imposibilidad para completa extensión de los muslos. Existe desplazamiento lateral de ambas cabezas femorales, secundario a luxación.
La Rx simple se utiliza para continuar el seguimiento. (2). Se encuentra disminución del ángulo de cubrimiento lateral, menor de 16º. (6). (Fig 35).
Igualmente hay desplazamiento laterosuperior del núcleo de crecimiento de la cabeza femoral. (2). Se traza una línea que pase por los cartílagos tri-radiados y otra vertical
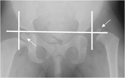
que cruce por el borde lateral del acetábulo. La cadera queda dividida en 4 cuadrantes y el núcleo de crecimiento normal, se localiza en el inferointerno. (2). (Fig 36).
También se mide el ángulo acetabular, formado por la línea que une los cartílagos
tri-radiados y su intersección con otra, que pasa por el borde acetabular externo. En la displasia es mayor de 35º. (2). (Fig 37).

Fig 35. Displasia de cadera.
Rx AP. Angulo de cubrimiento acetabular negativo, por displasia.

Fig 36. Displasia de cadera.
Rx AP. Desplazamiento superolateral del núcleo de crecimiento izquierdo, por displasia. Núcleo de crecimiento derecho, de localización normal.

Fig 37. Displasia de cadera.
Rx AP. Aumento del ángulo acetabular izquierdo, por displasia.
Angulo derecho normal.
La cabeza femoral displásica puede ser mas pequeña y con retraso en la osificación de su núcleo de crecimiento. (6).
La TAC es útil para hacer reconstrucciones 3D prequirúrgicas y el seguimiento postquirúrgico, que permite valorar la reducción o las causas del fallo (2).
| Fecha de creación | Marzo 1 de 2011 |
| Fecha de actualización | Mayo 2, 2015 |