ARTRITIS INFECCIOSA.
La cadera y la rodilla son las articulaciones, donde mas frecuentemente se produce la artritis séptica. (2).
En los niños como la placa de crecimiento es intra-articular, no sirve de barrera para el paso de los gérmenes y es una complicación de la osteomielitis. (2).
Con la radiografía se puede encontrar derrame articular, por el desplazamiento de los cojinetes grasos, en la fase inicial. Luego hay disminución del espacio, por destrucción del cartílago articular. Finalmente aparece erosión y destrucción del hueso subcondral. (2). (Fig 142 A y B).
La ecografía juega un papel importante para detectar el derrame articular y dirigir la punción, que permite confirmar el diagnóstico. (2). (Fig 142 C).

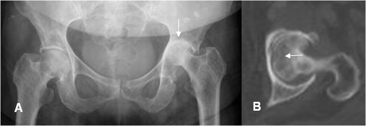
Fig 142 A. Artritis infecciosa.
A: Rx AP. Desplazamiento lateral del cojinete graso glúteo, que hace sospechar derrame articular.
B: RM coronal y C: RM axial en STIR. Se confirma el derrame articular, por artritis infecciosa.

Fig 142 B. Artritis séptica.
A: Rx AP. Pérdida del espacio articular en la cadera izquierda, sin presencia de osteofitos.
B: TAC axial. Adicionalmente se encuentra alteración en la densidad de la cabeza femoral, por osteomielitis asociada.

Fig 142 C. Artritis séptica.
A: Rx AP. No se encuentra anormalidades.
B: Ecografía transversal y C: Ecografía longitudinal. Escasa cantidad de derrame articular izquierdo. Después se puncionó y cultivó Estafilococo, por artritis séptica.
En la RM se confirma el derrame articular y la proliferación sinovial, que realza con el contraste. También permite detectar las complicaciones o lesiones asociadas como osteomielitis, osteonecrosis, alteración del crecimiento, etc. (2). (Fig 143 A, B y C).
Diferenciar entre artritis séptica y sinovitis transitoria en los niños, es difícil con la clínica y las ayudas diagnósticas comunes. La alteración en la SI del acetábulo o la cabeza femoral en la artritis, con realce del contraste, permite hacer la diferenciación. (Fig 144 A, B
y C). La cantidad de líquido, los cambios inflamatorios en la sinovial y los tejidos blandos, no son útiles para hacer la distinción. (36).

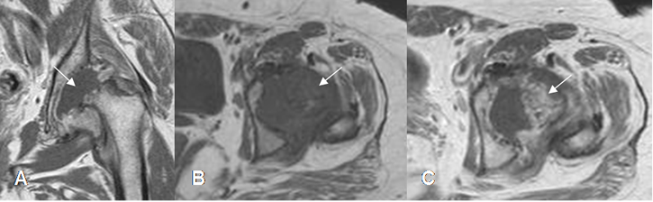
Fig 143 A. Artritis infecciosa.
A: RM coronal en T1. Destrucción de la cabeza femoral y derrame articular, por artritis infecciosa.
B: RM axial en T1 simple y C: RM axial en T1 con contraste. Proliferación sinovial, que realza con el contraste (Flechas).

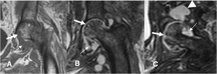
Fig 143 B. Artritis séptica.
A: RM coronal en T1, B: RM coronal en STIR y C: RM axial en STIR. Igual paciente de la figura 142 B. Aumento del líquido articular, por artritis infecciosa. (Flechas delgadas). Se encuentra edema de la cabeza femoral, hipointenso en T1 e hiperintenso en STIR y erosión de la cortical media, por osteomielitis asociada. (Flecha gruesa). Existe colección asociada en la parte anterior de la cadera. (Punta de flecha).

Fig 143 C. Artritis infecciosa.
A: Rx AP y B: TAC axial. Remodelación de la cabeza femoral y cavidad acetabular derecha, como secuela de artritis infecciosa.

Fig 144 A. Artritis infecciosa.
A: RM coronal en T1, B: RM coronal en STIR y C: RM axial en STIR. Artritis infecciosa con cambios inflamatorios en la parte medial del acetábulo (Flechas), que permite hacer la diferenciación con la sinovitis transitoria.

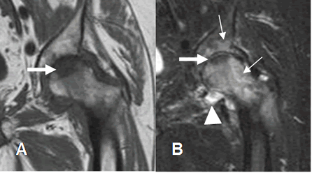
Fig 144 B. Artritis infecciosa.
A: RM coronal en T1 y B: RM coronal en STIR. Imágenes hipointensas en ambas secuencias, en la parte superior de la cabeza femoral, por osteonecrosis de evolución crónica. Pérdida del espacio articular, edema agudo en la cabeza femoral y cavidad articular (Flechas delgadas) y derrame articular. (Punta de flecha), por artritis infecciosa.

Fig 144 C. Sinovitis transitoria.
A: RM coronal en STIR y B: RM axial en STIR. Abundante derrame articular y proliferación sinovial. No se encuentran cambios óseos asociados. El cultivo resulto negativo y la clínica cedió con aines luego de 3 días.
| Fecha de creación | Marzo 1 de 2011 |
| Fecha de actualización | Agosto 13, 2013 |