VALORACION RADIOLOGICA.
Inicialmente el estudio de esta articulación, se realizaba con radiología convencional. (Fig 2).
Fig 2. ATM normal.
Rx Simple. C: Cóndilo mandibular.
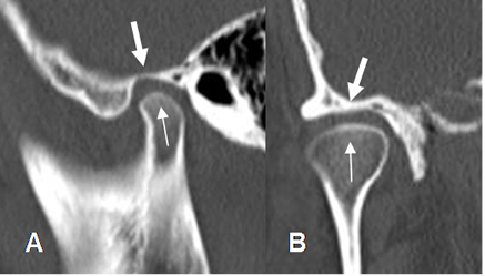
En los últimos años se ha utilizado la Tomografía axial computarizada (TAC) y las reconstrucciones tridimensionales para la valoración osea (Fig 3A y 3B) y en la actualidad la Resonancia magnética (RM) es la prueba de elección. Esta modalidad permite evaluar la morfología interna de la articulación y valorar la mecánica masticatoria. (1).

Fig 3A. ATM normal.
A: TAC reconstrucción sagital y B: TAC reconstrucción coronal. Articulación normal.
Cóndilo mandibular (Flecha delgada) y cavidad glenoidea. (Flecha gruesa).

Fig 3B. ATM normal.
TAC en reconstrucción 3D.
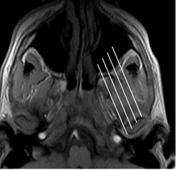
El estudio de la ATM con RM, debe incluir cortes sagitales oblicuos (Fig 4) y protecciones dinámicas, con boca abierta y boca cerrada. Las secuencias en gradiente de eco (GE), permite identificar mejor la posición y características del disco. (2).
Fig 4.Orientación de los cortes sagitales oblicuos en RM.
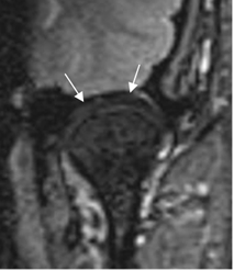
Adicionalmente, realizar secuencias coronales para valorar el componente rotacional, con desplazamiento medial o lateral. (1). (Fig 5).

Fig 5. Disco normal.
RM coronal en T2.
En RM la banda anterior y la zona intermedia, son hipointensas en todas las secuencias y la banda posterior, algo hiperintensa.
Con la boca cerrada, la banda posterior se sitúa en la parte más superior del cóndilo, hacia las 12 del reloj. (2).
Con la apertura de la boca, el cóndilo se sitúa por debajo de la eminencia media y entre ellos, la zona intermedia, que disminuye la fricción. (1). El disco se moviliza junto al cóndilo, durante los movimientos de masticación. (2). (Fig 6A y 6B).
Fig 6A. Disco normal.
RM GE sagital oblicuo, con boca cerrada. BA: Banda anterior. BP: Banda posterior. Zona intermedia: Flecha delgada.
Ligamentos retrodiscales superior e inferior: Flecha gruesa. EM: Eminencia media.

Fig 6B. Disco normal.
RM GE sagital oblicuo, con boca abierta. BA: Banda anterior. BP: Banda posterior. Zona intermedia: Flecha delgada. EM: Eminencia media.
| Fecha de creación | Marzo 1 de 2011 |
| Fecha de actualización | Septiembre 20, 2011 |