OSTEOARTRITIS:
Es mas común en personas de edad avanzada y cuando ocurre en personas jóvenes, se asocia a disfunción de la ATM.
Los hallazgos incluyen aplanamiento del cóndilo, presencia de osteofitos, erosión y esclerosis ósea. (2). (Fig 17, 18 A, 18 B y 18 C).

Fig 17. Degeneración ósea.
RM sagital oblicua en GE. Irregularidad y pérdida del cartílago, en el borde superior del cóndilo, el cual está aplanado. Además hay cambios degenerativos en la BA del disco.

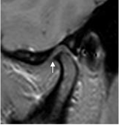
Fig 18 A. Cambios degenerativos.
A: TAC axial, B: TAC reconstrucción coronal y C: TAC reconstrucción sagital. Cambios degenerativos en la ATM, con disminución del espacio articular, formación de osteofito (Flecha gruesa) y lesiones osteocondrales (Flechas delgadas).
Fig 18 B.Osteoartrosis.
RM sagital oblicua en GE. Formación de osteofito en la parte anterior del cóndilo.

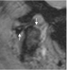
Fig 18 C. Osteoartrosis.
A y B: RM sagital en GE. Cambios degenerativos con irregularidad y erosión en el borde superior del Cóndilo en A, formación de osteofito (Flecha delgada) y quiste subcondral en B. (Flecha gruesa).
| Fecha de creación | Marzo 1 de 2011 |
| Fecha de actualización | Mayo 2, 2015 |