DISFUNCION DE ATM:
La anormal relación entre el menisco y el cóndilo mandibular, produce la disfunción de la ATM. (1).
El hallazgo mas frecuente es el desplazamiento anterior del disco. (2). La banda posterior se localiza por delante del cóndilo y al abrirla boca, se produce un chasquido, que corresponde a la reacomodación o reducción. Con la progresión de la alteración, no se produce la reducción. (Fig 7, 8 y 9).

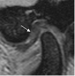
Fig 7. Disco luxado.
RM GE sagital oblicuo con boca cerrada. Desplazamiento anterior del disco. Banda anterior. (Flecha delgada).


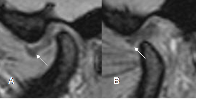
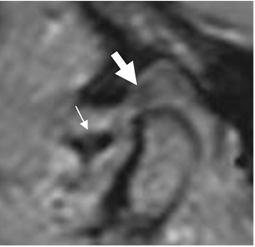
Fig 9. Disco luxado, que no reduce.
A: RM GE sagital oblicuo con boca cerrada. Disco con alteración de su morfología y señal, desplazado anteriormente.
B: RM GE sagital oblicuo con boca abierta. El disco persiste desplazado anteriormente.

Fig 10. Angulo del Menisco.
A: RM Secuencia GE sagital con ángulo normal.
B: RM Secuencia GE sagital, con disco desplazado anteriormente y un ángulo mayor de 30º.
La irregularidad, pérdida de la morfología bicóncava del disco y el desplazamiento anterior, posterior, medial, lateral o combinaciones, son signos de patología. (2). (Fig 11A y B).

Fig 11A. Degeneración del disco.
RM sagital en GE. Engrosamiento de la banda posterior, con alteración de su señal por proceso degenerativo.

Fig 11B. Degeneración del disco.
RM sagital en T1. Perdida en la señal y configuración del disco.
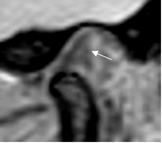
No confundir el disco desplazado, con la inserción del músculo pterigoideo lateral en el cóndilo mandibular, por debajo de la ubicación del menisco. (2). (Fig 12).

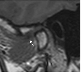
Fig 12. Músculo Pterigoideo normal.
RM sagital oblicua en GE. Músculo normal, por debajo de la banda anterior del disco.
En estados crónicos de lesión del disco, puede encontrarse perforación o ruptura. (Fig 13 A y B).

Fig 13 A. Ruptura del disco.
RM sagital oblicua en GE. Ruptura de la zona intermedia, con desplazamiento y separación de la BA (Flecha delgada) y la BP (Flecha gruesa), la cual presenta cambios degenerativos.

Fig 13 B. Ruptura del disco.
RM sagital en GE. Cambios degenerativos en el cóndilo mandibular, con irregularidad y formación de osteofito anterior. Existe degeneración y ruptura del disco con separación de la banda anterior (Flecha delgada) y posterior. (Flecha gruesa).
Clasificación de las lesiones del disco: (3). (Fig 14).
Grado 0: Disco de posición y morfología normal.
Grado 1: Desplazamiento anterior del disco, con morfología normal.
Grado 2: Desplazamiento anterior y alteración en la morfología del disco.

Fig 14. Diagrama de las lesiones del disco.
A: Grado 0, B: Grado 1 y C: Grado 2.
Otros hallazgos adicionales en la disfunción de ATM, incluyen el derrame articular y la ruptura del espacio retrodiscal. (2).
Derrame articular: La presencia de abundante cantidad de líquido es patológico y generalmente precede a la osteoartrosis. El líquido se localiza rodeando la banda anterior. Puede asociarse a sinovitis y en estos casos, los bordes realzan con el contraste. (Fig 15).

Fig 15. Osteoartrosis.
A: RM coronal en T2 y B: RM axial en T2. Presencia de derrame articular hiperintenso, rodeando el cóndilo mandibular.
RUPTURA DEL ESPACIO RETRODISCAL:
Origina importante inestabilidad del disco, por pérdida de la fijación posterior.
DISCO ATASCADO:
En estos casos el disco permanece en la misma posición con la boca abierta y cerrada, por la formación de adherencias. (2). (Fig 16).

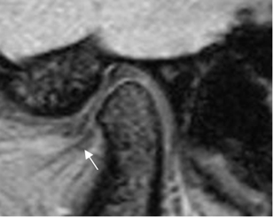
Fig 16. Sinequia.
RM sagital oblicua en GE, con boca abierta. La banda posterior está deformada y no se desplaza junto el cóndilo, por la presencia de adherencias.
| Fecha de creación | Marzo 1 de 2011 |
| Fecha de actualización | Septiembre 28, 2012 |