VALORACION RADIOLOGICA.
Como en las otras patologías, se pueden valorar las artropatías con radiografía (Rx) simple, ecografía, tomografía axial computarizada (TAC) y resonancia magnética
(RM).
La técnica mas importante para la evaluación de las artropatías es la Rx simple, con proyecciones de la articulación comprometida, en 2 posiciones. En ocasiones las proyecciones magnificadas, ayudan a identificar los cambios precoces. (2).
El cartílago y la cavidad articular son radiotransparentes y forman el espacio articular radiológico. (Fig 3).

Fig 3. Espacio articular normal.
Rx AP. Espacio articular, entre las estructuras óseas.
El derrame articular y laxitud ligamentaria, producen distensión de la cápsula y aumento del espacio. Por el contrario el daño del cartílago ocasiona disminución del espacio. (2).
La TAC no es un estudio de primera elección. Es útil en algunos casos, para valorar el grado de destrucción articular. (2).
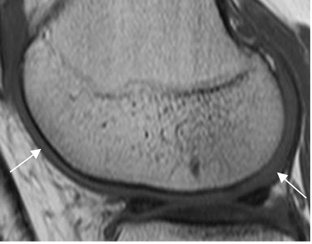
La RM es la técnica de elección para valorar el cartílago articular. Igualmente es un excelente método, para valorar los tejidos blandos y las alteraciones sinoviales. (2).
(Fig 4).

Fig 4. Cartílago articular normal.
RM T1 sagital. Cartílago normal, cubriendo el cóndilo femoral.
| Fecha de creación | Marzo 1 de 2011 |
| Fecha de actualización | Septiembre 28, 2013 |