ARTROPATIA REUMATICA.
La artritis reumatoidea (AR) es la mas común artritis inflamatoria, que afecta cerca del 1% de la población. (6).
Es una enfermedad inflamatoria sistémica, crónica y progresiva, que aparece 3 veces mas en las mujeres que en los hombres. El compromiso articular es simétrico, con periodos de remisión y exacerbación espontáneos. (2).
El diagnóstico (Dx) precoz es importante, porque los daños articulares ocurren en los primeros 2 años de enfermedad (7) y así se evita el daño progresivo y deterioro funcional. (6).
Aunque la AR puede comprometer cualquier articulación, las mas comúnmente afectadas, son la muñeca, las articulaciones metacarpofalángicas e interfalángicas proximales. (6). En la columna, es frecuente en las articulaciones interapofisiarias y la atlantoaxoidea. (1). (Fig 19).

Fig 19. Distribución de la artropatía reumática.
Compromiso simétrico de articulaciones grandes y columna cervical.
En las manos la afección es proximal y de los huesos del carpo.
La Rx simple es la modalidad mas usada y permite detectar las erosiones típicas de la enfermedad. Las proyecciones magnificadas son recomendadas y más sensibles, por tener mejor resolución y contraste. (6).
La erosión ósea, disminución uniforme del espacio articular, osteopenia y prominencia de los tejidos blandos, son los hallazgos mas comunes y reflejan la sinovitis. (8).
(Fig 20).

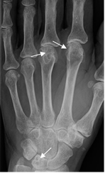
Fig 20. Diagrama de artritis reumatoidea.
Característico la osteopenia, disminución simétrica del espacio articular, erosiones en los sitios de inserción capsular o ligamentaria (Flechas) y sinovitis.
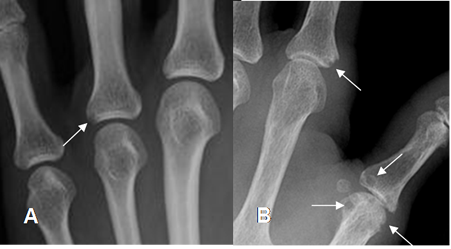
Las erosiones se aprecian como áreas radiolúcidas, relacionadas con los sitios de inserción de los ligamentos interóseos y la sinovial. Los lugares con cambios más tempranos son la base del 3º y 4 º metacarpianos, entre los huesos grande y ganchoso y el lado ulnar del ganchoso. (6). (Fig 21 y 22).

Fig 21. Artropatía reumática.
A: Rx AP de mano. Hallazgo precoz de la enfermedad, con erosión marginal.
B: Estado mas avanzado con varias erosiones en los metacarpianos y las falanges.

La detección de los cambios óseos es difícil, por la superposición de estructuras. Como la erosión es secundaria al compromiso del hueso cortical, su Dx es tardío. En estos casos el TAC puede ayudar, aunque no es una modalidad de primera línea. (6). (Fig 23).
En las Rx seriadas de control, la esclerosis de las erosiones oseas indican reparación y la aparición de nuevas lesiones, progresión de la enfermedad. (6).
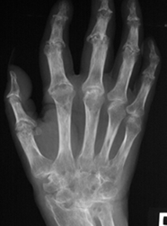
En los casos avanzados de la enfermedad, hay pérdida simétrica en la amplitud de los espacios articulares, con fusión ósea. (6). También pueden aparecer luxaciones o subluxaciones en las articulaciones interfalángicas (Deformidad en cuello de cisne o en ojal), por la alteraciones ligamentaria y tendinosa. (2). (Fig 24 y 25).

Fig 23. Artropatía reumática en la mano.
A: TAC axial y B: TAC reconstrucción coronal. Erosiones en los huesos semilunar (Flecha delgada) y en el borde lateral del radio. (Flecha gruesa).

Fig 24 A. Artropatía reumática.
Rx AP. Enfermedad avanzada con osteoporosis, disminución simétrica del espacio articular y deformidad.

Fig 24 B. Artropatía reumática.
Rx AP. Enfermedad avanzada en la mano, con osteoporosis periarticular, disminución de los espacios articulares interfalángicos, radio y ulnocarpiano y fusión de los huesos del carpo.

Fig 25. Artropatía reumática.
Rx AP. Enfermedad muy avanzada, con sub y luxación de articulaciones metacarpofalángicas. Reabsorción y cambios PostQx en los huesos del carpo y el tercio distal de los cúbitos.

Fig 26. Artropatía reumática.
A: Rx AP. Erosiones del semilunar y el ganchoso.
B: RM coronal en T1. Además de estas erosiones, se aprecian otras en el escafoides, semilunar, piramidal y el radio, no visibles en la Rx inicial.

Fig 27. Artropatía reumática.
A: RM coronal en T1 y B: RM coronal en STIR. Presencia de erosiones marginales en los metacarpianos y la falanges proximales, hipointensas en T1 e hiperintensas en STIR.

Fig 28. Artropatía reumática.
A: Rx AP. Osteopenia generalizada, con disminución de espacios articulares y prominencia de los tejidos blandos, a nivel bilateral. (Flechas).
B: RM coronal en STIR y C: RM axial en T2. Pannus hiperintenso en ambas secuencias, en la parte posterior de la articulación. (Flechas).
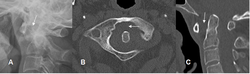
En la columna cervical, puede encontrarse erosión, subluxación de la articulación atlantoaxoidea o impactación y compromiso de las articulaciones interapofisiarias. (2).
En la subluxación hay laxitud del ligamento transverso, con aumento del espacio entre C1 y C2, en la proyección lateral en flexión. (2). (Fig 29 A y B).
La impactación atlantoaxoidea se caracteriza por desplazamiento vertical de la odontoides. (2). También se pueden encontrar subluxaciones, por el compromiso de las articulaciones interapofisiarias. (2). (Fig 30).

Fig 29 A. Artropatía reumática.
A: Rx lateral, B: TAC axial y C: TAC reconstrucción sagital. Aumento del espacio atlantoaxial y sin antecedente de trauma, por laxitud ligamentaria.

Fig 29 B. Artropatía reumática.
A: Rx lateral y B: RM sagital en T1. Aumento del espacio entre el arco anterior de C1 y la odontoides, por laxitud ligamentaria.

En el grupo de AR juvenil, se incluye la enfermedad de Still, la artritis poliarticular y la oligoarticular. Son entidades cuyo Dx se basa en la clínica, pues no hay pruebas de laboratorio específicas. (2).
La enfermedad de Still, se manifiesta como poliartralgias crónicas y recurrentes, con hepatoesplenomegalia, adenopatías, exantema cutáneo, fiebre y pérdida de peso.
La AR juvenil poliarticular, ataca 4 o mas articulaciones, con síntomas generales y alteración del crecimiento, por el cierre prematuro de las epífisis. (2).
La AR juvenil oligoarticular, compromete 4 o menos articulaciones.
Aparte de los signos clásicos de AR, en este grupo de pacientes hay reacción perióstica en la diáfisis de los metacarpianos y falanges proximales, anquilosis interfalángicas y de la columna vertebral y alteración en el crecimiento. (2). Es clásico el crecimiento anormal, en los cóndilos mediales de la rodilla. (2).
| Fecha de creación | Marzo 1 de 2011 |
| Fecha de actualización | Septiembre 28, 2013 |