ARTROPATIA POR PSORIASIS.
Es una enfermedad de la piel, caracterizada por la presencia de pápulas eritematosas con predominio en el cuero cabelludo y las superficies extensoras de las extremidades y tofos ungueales, por compromiso de las uñas. (15).
El compromiso de las uñas, pueden orientar y sugerir el Dx precoz. (2).
La enfermedad articular se encuentra en pacientes con alteraciones severas de la piel y lesiones ungueales. (1).
Ocasiona artritis erosiva asimétrica, con predominio de las articulaciones interfalángicas distales de los pies y las manos. Se asocia con sacroileitis bilateral y simétrica, similar a la AR (15) y compromiso de la columna (2). (Fig 53).

Fig 53. Distribución de la artropatía por psoriasis.
Compromiso dorsolumbar, simétrico de las sacroiliacas y de las falanges distales de las manos y los pies.
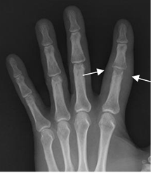
Un hallazgo importante que ocasiona la AP, es la prominencia de los tejidos blandos. Puede afectar todo un dedo, dando la apariencia de “dedo en salchicha”. (1). (Fig 54 A).
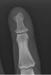
En la Rx simple hay pocos signos específicos. Es característica la reabsorción de los penachos distales de las falanges, la reacción perióstica algodonosa y el afilamiento en la parte distal de las falanges, originando el signo de lápiz en copa. (1,2). (Fig 54 B).

Fig 54 B. Artropatía por psoriasis.
Rx AP. “Dedo en salchicha”, por compromiso de los tejidos blandos.

Fig 54 B. Artropatía por psoriasis.
Rx AP. Reabsorción de la falange distal.
Los cambios por sacroileitis son típicos con esclerosis, erosión y disminución del espacio articular. (1).
En la columna se producen sindesmofitos gruesos y unilaterales, sobre el segmento dorso lumbar, que se origina de la parte media del cuerpo vertebral. (1).
| Fecha de creación | Marzo 1 de 2011 |
| Fecha de actualización | Septiembre 20, 2011 |