ARTROPATIA NEUROPATICA.
La artropatía neuropática (AN) es un grupo de lesiones óseas y articulares, ocasionadas por alteración en la propiocepción.
Es también conocida como enfermedad de Charcot, quien planteó la teoría inicial, de que la enfermedad se producía por lesión en los núcleos nerviosos que controlan la nutrición ósea y articular. (11).
2 teorías han sido propuestas en su fisiopatología: (11).
El déficit sensorial puede ocurrir en la medula ósea o los nervios periféricos. (12).
La diabetes es la principal causa de la AN. (12).
La clave para el Dx temprano depende del factor etiológico. Como principales patologías asociadas se menciona la sífilis o tabes dorsal y el trauma medular, con compromiso de la columna y extremidades inferiores. La siringomelia, con afección de los hombros y la diabetes y otras neuropatías, causan compromiso del pie. (3, 11). (Fig 39 y 40).

Fig 39. Artropatía neuropática.
A: RM sagital en T2. Signos de siringomelia.
B: Rx de hombro AP y C: Rx codo AP. Osteopenia generalizada, por artropatía neuropática.

Fig 40. Distribución de la artropatía neuropática.
Compromiso aislado del hombro, tobillo, pie o columna, asociado a una patología desencadenante.
Hay 2 patrones radiológicos que pueden presentarse: (11).
En la extremidad inferior el tobillo y el pie, son las estructuras mas comúnmente afectadas y ocurre en pacientes diabéticos. (11).
Las fracturas pueden ocurrir en ambos patrones radiológicos y se caracterizan por su orientación horizontal. (12).
En la RM los cambios por AN son inespecíficos. Se observa hipointensidad en T1 y T2, debido a la esclerosis ósea. Lesiones hiperintensas en T2, están a favor de patología inflamatoria o neoplásica. (12). Para diferenciarla de tumores, se debe tener en cuenta que estos comprometen un solo lado articular y la AN, ataca ambos lados de la articulación. (11). (Fig 44, 45, 46 y 47).

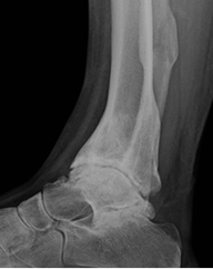
Fig 41. Artropatía neuropática. Patrón hipertrófico.
Rx lateral. Disminución del espacio tibioastragalino, con esclerosis y formación de osteofitos anteriores. Fractura consolidada de la tibia, como desencadenante.

Fig 42. Artropatía neuropática. Patrón atrófico.
A: Rx AP y B: TAC reconstrucción coronal. Fractura del maléolo interno, con osteopenia del tobillo y lesiones osteocondrales de la tibia y el talo.

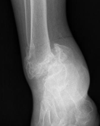
Fig 43. Artropatía neuropática. Patrón atrófico.
Rx AP. Osteopenia con resorción del tercio distal de la tibia y el talo y subluxación del tobillo.

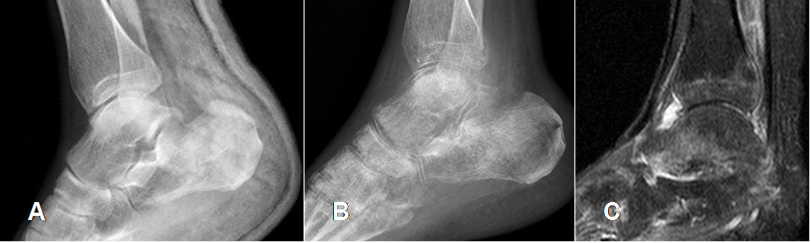
Fig 44. Artropatía neuropática. Patrón atrófico.
A: Rx lateral del tobillo, con fractura impactada del calcáneo.
B: Rx 6 meses después. Osteopenia del retropié, con resorción de calcáneo, talo y huesos del tarso.
C: RM sagital en STIR. Disminución del espacio articular, signos de sinovitis y edema óseo de la tibia y el talo.

Fig 45. Artropatía neuropática. Patrón atrófico.
A: RM sagital en T1. Fractura oblicua en el maléolo externo, en proceso de consolidación, con persistencia del dolor.
B: RM sagital en STIR. Disminución del espacio tibioastragalino, con edema de ambos huesos y sinovitis asociada.

Fig 46. Artropatía neuropática. Patrón atrófico.
A: Rx lateral del tobillo y B: Rx oblicua del pie. Alteración osea con remodelación del talo, el calcáneo y los huesos del medio pie.

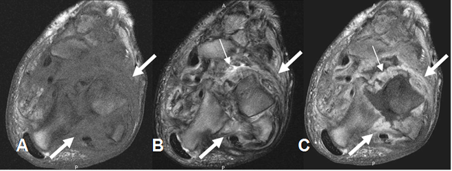
Fig 47. Artropatía neuropática. Patrón atrófico.
A: RM axial en T1, B: RM axial en T2 y C: RM axial en T1 con contraste. Subluxación articular, con cambios inflamatorios de los tejidos blandos, hipointensos en T2 y que realzan con el contraste. (Flechas gruesas). Además hay signos de sinovitis. (Flechas delgadas).
En la columna, los segmentos dorsolumbares son los mas comúnmente afectados y el Dx es de exclusión, cuando se ha descartado una causa infecciosa. (11).
Se pueden encontrar signos de esclerosis u osteolisis, fragmentación con aspecto de vértebra explotada y otros múltiples cambios inespecíficos. (11).
Es clásica la afección de las 3 columnas, con compromiso de las articulaciones intervertebrales y masa paraespinal con calcificaciones. (11).
El realce del contraste del disco intervertebral es anular en la AN y difuso en los procesos infecciosos. En los cuerpos vertebrales es difuso en la AN y compromete las placas terminales en la osteomielitis. (12).
| Fecha de creación | Marzo 1 de 2011 |
| Fecha de actualización | Septiembre 28, 2013 |