ARTROPATIA POR GOTA.
La gota es un desorden metabólico, ocasionado por el aumento en la producción o disminución en la excreción del ácido úrico. El Dx se hace con niveles en sangre mayores a 7 mg/dl. (9).
La enfermedad es mas común en los hombres de edad avanzada y el Dx definitivo, requiere identificar los cristales de urato en el líquido sinovial o los tofos.
La articulación metatarsofalángica del 1º dedo es la más comúnmente afectada, seguida de las interfalángicas de los pies y las manos. (3). (Fig 31).

Fig 31. Distribución de la artropatía por gota.
Compromiso asimétrico con predominio en manos y pies.
El primer ataque generalmente es monoarticular y afecta la 1º articulación metatarsofalángica. Los siguientes ataques pueden ser poliarticulares.
Otro signo de la enfermedad es la formación de tofos. Corresponde a cambios inflamatorios en los tejidos blandos, que pueden aparecer en las manos, los pies, las orejas, la bursa olecraniana y el tendón de aquiles. (9). (Fig 32 A y B).

Fig 32 A. Diagrama de artropatía por gota.
Presencia de lesiones en sacabocado (Flecha delgada) y tofos en los tejidos blandos (Flecha gruesa).
La Rx simple en la etapa aguda puede ser normal o mostrar prominencia de tejidos blandos y derrame articular. Los cambios radiológicos pueden tardar años en aparecer y con el tratamiento apropiado, se pueden evitar. (9).
Las lesiones óseas se caracterizan por ser en sacabocado, de bordes delgados y escleróticos. Tienen localización marginal y se extienden centralmente.
Los tofos son nódulos de tejidos blandos, que pueden calcificarse. (9). (Fig 33 y 34).

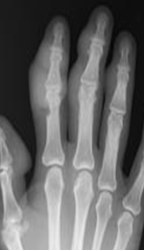
Fig 32 B. Artropatía por gota.
Rx AP: Cambios inflamatorios de los dedos, en relación con las articulaciones interfalángicas.

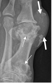
Fig 33. Artropatía por gota.
Rx AP del pie. Lesiones radiolúcidas y de bordes escleróticos, en el 1º metatarsiano. Hay prominencia asociada de los tejidos blandos, que corresponde a tofo. (Flecha gruesa).

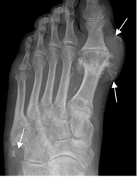
Fig 34. Artropatía por gota.
Rx AP del pie. Presencia de tofos calcificados, sobre el 1º y 5º dedo.
En los estados avanzadas de la enfermedad, puede haber osteopenia y disminución del espacio articular.
La ecografía puede mostrar derrame articular y es usada como guía de procedimientos intervencionistas, como aspiración y punción de tofos. (9).
Los tofos se observan como imágenes hipoecoicas, con algo de sombra acústica.
Aunque la RM no está indicada en la mayoría de los casos, es utilizada para la valoración del cartílago. Los tofos se observan como imágenes isointensas al músculo en T1, hipo o hiperintensa en T2 y con realce variable del contraste. La presencia de cristales y calcificaciones, pueden ocasionar SI heterogénea en T2, indistinguible por imágenes de tumores. (9).
| Fecha de creación | Marzo 1 de 2011 |
| Fecha de actualización | Septiembre 28, 2013 |