ARTROPATIA POR ESPONDILITIS ANQUILOSANTE (EA).
Corresponde a una enfermedad de etiología desconocida, asociada con el antígeno de histocompatibilidad HLA-B27, que produce inflamación crónica. (1). Los individuos que lo portan, tienen un riesgo 20 veces mayor de desarrollar la espondiloartropatía. (21).
Ocasiona dolor de espalda, afecta a las personas jóvenes (1) y es mas frecuente en las mujeres. (2).
Clásicamente los cambios aparecen en las articulaciones sacroiliacas y van ascendiendo, por todos los segmentos de la columna vertebral. (1).
También puede encontrarse compromiso de articulaciones periféricas, de forma bilateral y con mayor frecuencia en las caderas y los hombros. (Fig 56 A).

Fig 56 A. Distribución de la espondilitis anquilosante.
Siempre compromiso de sacroiliacas y todos los segmentos vertebrales.
La forma cuadrada en la parte anterior de los cuerpos vertebrales dorsales y lumbares, es uno de los primeros signos de EA, en la Rx lateral. (2). (Fig 56 B).
Posteriormente hay formación de sindesmofitos, que unen los cuerpos vertebrales y son un hallazgo patognomónico. (22). Estos corresponden a la calcificación de los anillos fibrosos de los discos y su orientación es vertical, lo que los diferencia de los osteofitos degenerativos, que son horizontales. (Fig 57 B). En casos mas avanzados, adquieren la configuración de columna en bambú. (1, 2, 22). (Fig 56 C a 56 F).
En la anquilosis severa, pueden producirse fracturas en el segmento cervical. (1). (Fig 56 G y 56 H).

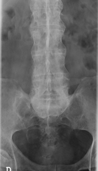
Fig 56 B. Espondilitis anquilosante.
A y B: Rx AP. La parte anterior de los cuerpos vertebrales es “cuadrada”, cambios que sugieren espondilitis anquilosante inicial.

Fig 56 C. Espondilitis anquilosante.
Rx lateral. Formación de sindesmofito con horientación vertical, por espondilitis anquilosante.

Fig 56 D. Espondilitis anquilosante.
Rx AP. Presencia de sindesmofitos en la columna lumbar. Nótese el compromiso simétrico, de las sacroiliacas.

Fig 56 E. Espondilitis anquilosante.
A: Rx lateral. Sindesmofitos, con el aspecto de columna en bambú.
B: Gran rigidez y poca movilización, en la proyección de flexión.

Fig 56 F. Espondilitis anquilosante.
A: RM sagital en T1 y B: RM sagital en T2. Formación de sindesmofitos, que produce fusión entre los cuerpos vertebrales dorsales.

Fig 56 G. Fractura.
A: Rx lateral. Rectificación de la columna y formación de sindesmofitos, por EA.
B: TAC reconstrucción sagital. Antecedente de trauma y no visualización de C7 en la Rx simple. Se identifica aumento del espacio C6-C7, con retropulsión del cuerpo, por lesión traumática.

Fig 56 H. Fractura.
TAC reconstrucción. Fusión de los cuerpos cervicodorsales y aumento de la lordosis. Se identifica fractura de C7, con retropulsión del fragmento inferior.
La Rx simple inicialmente es normal y el diagnóstico se puede retardar entre 8 a 11 años. (20).
Los cambios radiológicos de las articulaciones periféricas, son similares a los vistos en la AR, pero en menor intensidad. (1). Son típicos las neoformaciones óseas en el calcáneo, las tuberosidades isquiáticas y las crestas iliacas. (2). (Fig 57 A).
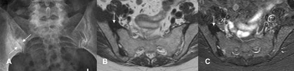
La afección de las articulaciones sacroiliacas, puede ser la manifestación inicial de la enfermedad. (20). Durante la evolución de la enfermedad, el compromiso termina siendo bilateral y simétrico. Si estas no están afectadas, casi que se puede excluir el Dx de EA. (1). (Fig 57 B y 57 C).

Fig 57 A. Espondilitis anquilosante.
A: RM sagital en T1 y B: RM sagital en STIR. Edema óseo del calcáneo, en un paciente con EA.

Fig 57 B. Espondilitis anquilosante.
A: Rx AP y B: TAC axial. Esclerosis y erosión de los componentes iliacos, de ambas articulaciones, por espondilitis anquilosante.

Fig 57 C. Espondilitis anquilosante.
A: Rx AP y B: TAC axial. Fusión de la articulación sacroiliaca derecha y disminución del espacio y esclerosis de la izquierda, por espondilitis anquilosante.
Los nuevos criterios de la Assessment of SpondyloArthritis international Society (ASAS), incluye la RM para facilitar el diagnóstico temprano, iniciar la terapia precoz y prevenir el daño estructural. La respuesta al tratamiento de la sacroileitis, también se puede monitorear, con esta prueba. (20, 21). (Fig 58 A).
Estos criterios son aplicables a pacientes menores de 45 años y con al menos, 3 meses de dolor de espalda. (20, 22).
Una radiografía simple negativa de la pelvis o la columna, puede retardar el diagnóstico y no puede excluir el Dx de EA. (22). Por eso la recomendación, es realizar una RM, que tiene la mayor sensibilidad para detectar las lesiones inflamatorias agudas y confirmar la sospecha clínica de sacroileitis. (20, 22).
Los hallazgos incluyen edema óseo, con aumento de la señal en T2 y STIR y realce del contraste en T1 supresión grasa. Su localización es subcondral o periarticular y se puede asociar con erosión. Igualmente se puede identificar la sinovitis, capsulitis y entesitis. (20, 21, 22).
Para hacer el diagnóstico deben encontrarse mas de 2 lesiones en 1 corte o 1 sola lesión, visible en al menos 2 cortes consecutivos. La sinovitis, capsulitis y entesitis, no son suficientes para hacer el diagnostico de sacroilietis. (20, 22). (Fig 58 B a 58 E).
La sinovitis se diferencia del liquido articular, por el realce con el contraste.
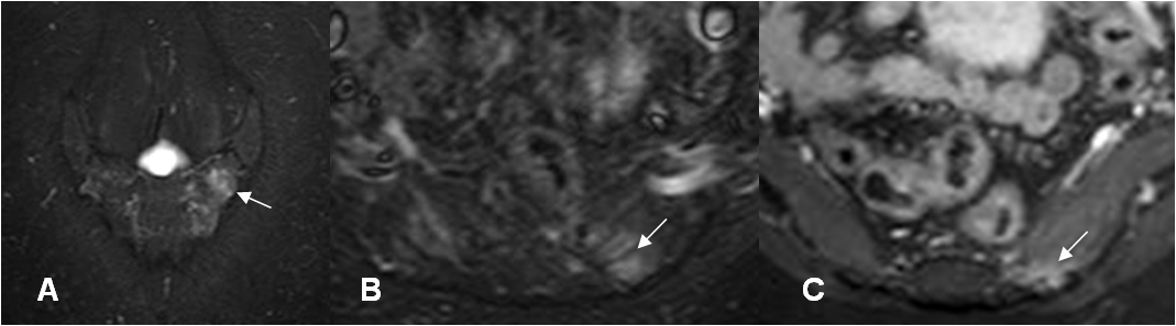
La entesitis se aprecia como una lesión hiperintensa, que realza con el contraste, sobre los sitios de inserción de los ligamentos y tendones. (20). (Fig 58 F).

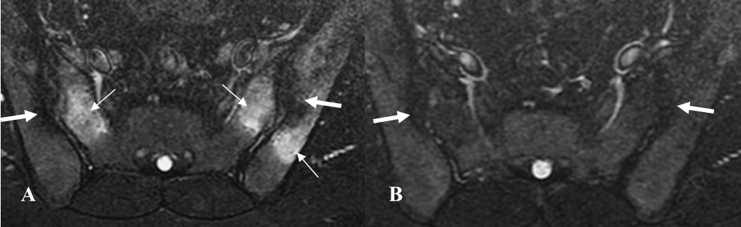
Fig 58 A. Espondilitis anquilosante.
A y B: RM axial en STIR. Edema trabecular en los alerones del sacro a nivel bilateral y el iliaco izquierdo. (Flechas delgadas). Con tratamiento y en un control realizado 2 años después, han desaparecido los cambios inflamatorios agudos. En ambas imágenes hay lesiones de evolución crónica, sobre los iliacos. (Flechas gruesas).

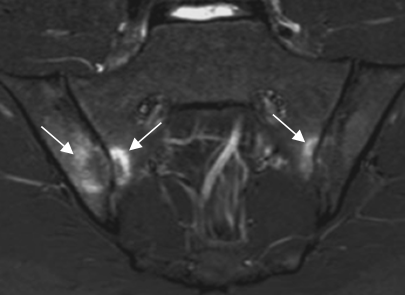
Fig 58 B. Espondilitis anquilosante.
RM coronal en STIR. Lesiones agudas bilaterales, identificadas en el mismo corte.

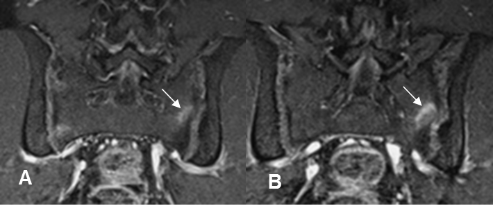
Fig 58 C. Espondilitis anquilosante.
A y B: RM coronal en STIR. Lesiones agudas bilaterales, en A. Si solo se encontrara la lesión del lado izquierdo, esta tendría que verse en 2 cortes consecutivos, para ser considerada positiva. (Flechas delgadas).

Fig 58 D. Espondilitis anquilosante.
A y B: RM coronal en STIR. Lesión aguda derecha, visualizada en 2 cortes consecutivos.

Fig 58 E. Espondilitis anquilosante.
A: Rx AP. Zona de esclerosis, sobre la sacroiliaca derecha.
B: RM axial en T1 y C: RM axial en STIR. La lesión es hipointensa en ambas secuencias, por fibrosis secundaria a lesión de evolución crónica.

Fig 58 F. Entesitis.
A: RM coronal en STIR. Aumento en la señal sobre el alerón izquierdo del sacro, por osteitis.
B: RM axial en STIR y C: RM axial en T1 STIR, con contraste. Aumento en la señal en la inserción del músculo piramidal, con realce del contraste, por entesitis.
La columna es el 2º sitio mas frecuente, de compromiso por EA (22).
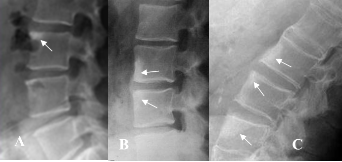
Sus alteraciones estructurales iniciales, fueron descritas por Romanus e Yden. (21). Corresponden a irregularidad y erosión de las esquinas anterior y posterior de las placas terminales de las vertebras, donde se une el anillo fibroso y corresponden a una entesitis. Mas tarde con la evolución de la enfermedad, estas zonas se tornan escleróticas y se conocen como esquinas brillantes. (Fig 59 A).
La RM permite detectar estos cambios en su fase aguda y crónica. (21). Son hipointensas en T1 e hiperintensas en STIR, por osteitis aguda. Posteriormente se tornan hiperintensas en T1, por depósito graso post-inflamatorio y en este estado, pueden ser detectadas con Rx simple, cuando la enfermedad ha evolucionado bastante. (21, 22). (Fig 59 B a 59 G).
Una RM positiva, se define como al menos 3 anteriores o posteriores inflamaciones de las esquinas de las vértebras o depósito graso.

Fig 59 A. Lesiones Romanus.
A, B y C: Rx lateral. Esquinas brillantes en diferentes estados de evolución, por esclerosis de lesiones Romanus, en los cuerpos vertebrales.

Fig 59 B. Lesiones Romanus.
A: RM sagital en T1 y B: RM sagital en T2. Lesión en la esquina posterior del cuerpo vertebral cervical, hipointenso en T1 e hiperintenso en T2, por lesión Romanus de evolución aguda.

Fig 59 C. Lesiones Romanus.
A: RM sagital en T1 y B: RM sagital en T2. Lesiones en las esquinas de las vértebras hipointensas en T1 e hiperintensas en T2, por lesiones Romanus de evolución aguda. Hay otras lesiones hiperintensas en ambas secuencias, por evolución subaguda.

Fig 59 D. Lesiones Romanus.
A: RM sagital en T1 y B: RM sagital en T1 STIR con contraste. Lesiones en las esquinas de las vértebras, hipointensas en T1 y con realce del contraste, por lesiones Romanus de evolución aguda. En la parte anterior de L5, hay otras lesiones hiperintensas en T1 y sin realce, por depósito graso.

Fig 59 E. Lesiones Romanus.
A: RM sagital en T1 y B: RM sagital en T2. Lesiones en las esquinas de las vértebras, hiperintensas en ambas secuencias, por lesiones Romanus con depósito graso.

Fig 59 F. Espondilitis anquilosante.
A: Rx lateral. Se identifican sindesmofitos, en la parte anterior de los cuerpos vertebrales y esquinas densas.
B: RM sagital en T1 y C: RM sagital en T2. Lesiones Romanus en la parte anterior de los cuerpos vertebrales, hiperintensas en ambas secuencias, por evolución subaguda.

Fig 59 G. Lesiones Romanus.
A: RM sagital en T1, B: RM sagital en T2 y C: RM sagital en STIR. Múltiples lesiones Romanus, en las esquinas de los cuerpos lumbares. Son hiperintensas en T1 y T2 y suprimen en STIR, por depósito graso de evolución subaguda.
El compromiso inflamatorio del disco intervertebral, es conocido como espondilodisquitis o lesión de Anderson, que es una condición no infecciosa. (21).
Produce alteración en la señal y configuración del disco y las placas terminales, las cuales con hipointensas en T1 e hiperintensas en STIR, adquiriendo una forma semihemisférica. Los cambios comprometen mas la parte central, que los bordes anterior y posterior y son detectados con la RM, antes que la Rx simple. (21, 22). (Fig 59 H a 59 J).

Fig 59 H. Espondilodisquitis.
A: RM sagital en T1 y B: RM sagital en T2. Erosión en la placa terminal inferior de L4, de bordes hiperintensos en ambas secuencias.

Fig 59 I. Espondilodisquitis.
A: RM sagital en T1 y B: RM sagital en STIR. Igual paciente anterior. Además de la erosión en la placa terminal inferior de L4, un año después, se identifica otra en L5. Tienen localización central y en ambos casos se aprecian cambios inflamatorios agudos.

Fig 59 J. Espondilodisquitis.
A y B: RM STIR. Edema trabecular de las placas terminales y rodeando un espacio intervertebral, por espondilodisquitis. En un control 10 meses después de iniciar el tratamiento, han desaparecido los cambios inflamatorios.
| Fecha de creación | Marzo 1 de 2011 |
| Fecha de actualización | Marzo 20, 2016 |