ARTROPATIA DEGENERATIVA.
Los cambios degenerativos en una articulación sinovial, son conocidos como osteoartritis u osteoartrosis. (3).
Esta artropatía es el resultado del daño del cartílago articular, por microtrauma repetido y la intensidad de los cambios dependen de los hábitos y actividad física de cada persona. (3).
El compromiso articular es asimétrico y en las manos la afección tiene un predominio distal. En los casos avanzados, puede encontrarse deformidad. (Fig 5).
Las primeras articulaciones afectadas son las acromioclaviculares y carpometacarpianas del 1º dedo, alrededor de los 40 años. (3).

Fig 5. Distribución de la artropatía degenerativa.
Compromiso asimétrico de articulaciones grandes, columna cervical y lumbar.
En las manos predominio distal y de la articulación carpometacarpiana del 1 dedo.
La presencia de osteofitos es el hallazgo típico. La disminución del espacio, presencia de quistes subcondrales y esclerosis articular, indican la severidad. (Fig 6, 7 y 8).

Fig 6. Diagrama de artropatía degenerativa.
Característico la disminución asimétrica del espacio articular, erosión y esclerosis de las superficies articulares, osteofitos (Flecha delgada) y quistes subcondrales (Flecha gruesa).

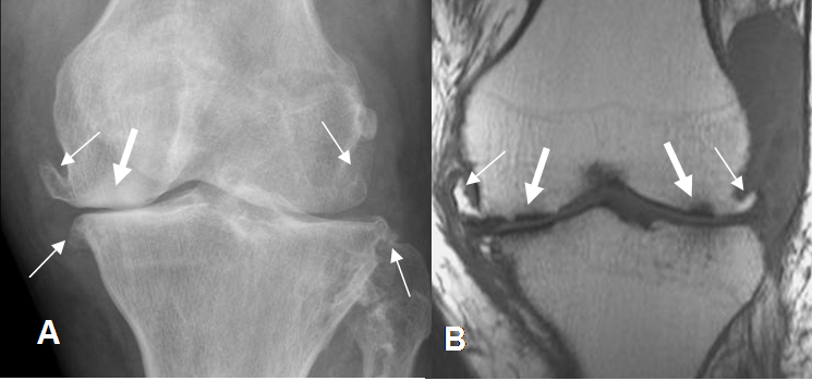
Fig 7. Artropatía degenerativa en rodilla.
A: Rx AP y B: RM coronal en T1. Hallazgos típicos con formación de osteofitos
(Flechas delgadas), disminución del espacio articular y erosión del hueso subcondral.
(Flechas gruesas).

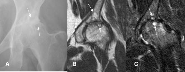
Fig 8. Artropatía degenerativa en cadera.
A: Rx AP de cadera. B: RM coronal en T2 y C: RM coronal en STIR. Pérdida del espacio articular, esclerosis y lesiones radiolúcidas en la Rx e hiperintensas en la RM, sobre la cabeza femoral y el acetábulo, que corresponden a quistes subcondrales. (Flechas).
Un dato clave, es que la disminución del espacio articular es no uniforme o asimétrico. El ejemplo típico es la rodilla, donde los cambios muestran predominio del compartimiento medial y la articulación patelofemoral. (3). (Fig 9 y 10).

Fig 9. Artropatía degenerativa.
A: Rx AP y B: RM T1 coronal. Compromiso asimétrico del compartimiento medial, con erosión articular. (Flecha).

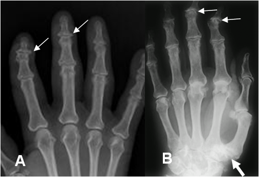
En la osteoartritis la osteopenia es rara. Las lesiones en las manos producen nódulos de Heberden en las articulaciones interfalángicas distales y de Bouchard en las proximales. (4). (Fig 11).

Fig 11. Artropatía degenerativa.
A y B: Rx AP. Cambios degenerativos de predominio distal (Flechas delgadas) y en la 1º articulación metacarpofalángica. (Flecha gruesa).
La afectación de la columna cervical y lumbar, produce osteofitos, disminución en la amplitud de los espacios e hipertrofia de articulaciones intervertebrales, con canal estrecho asociado. (Fig 12, 13, 14 y 15).

Fig 12. Artropatía degenerativa en columna.
A: Rx lateral y B: RM gradiente eco (GE) sagital, de la columna cervical. Presencia de osteofitos anteriores y posteriores, muy bien definidos en el GE, que es la secuencia de elección para su detección.

Fig 13. Artropatía degenerativa.
A y B: TAC cervical axial. Osteofitos anteriores e hipertrofia de articulación intervertebral derecha, que disminuye la amplitud del agujero de conjunción. (Flecha negra).


Existen varios tipos de osteoatrosis, que muestran algunas características específicas:
Se considera una osteoartrosis atípica, cuando los cambios aparecen en personas jóvenes, son mas severos y compromete articulaciones inusuales, como el codo. Debe diferenciarse de otras artropatías, como la post-trauma, la hemofilia, el depósito de cristales, la artropatía neuropática, malformaciones congénitas o del desarrollo, etc. (3).
La osteoartritis erosiva es un desorden progresivo que afecta las articulaciones interfalángicas de las manos, de las mujeres postmenopáusicas. (4).
Es conocida así, por la importante erosión y destrucción del cartílago articular. Se considerada una variante de la osteoartritis degenerativa y se asociada a cambios por sinovitis.
El hombro de milwakee, es una entidad que afecta mas frecuentemente a las mujeres y ocasiona artritis rápidamente progresiva. Generalmente existe un antecedente traumático. Hay ruptura completa del manguito rotador, cambios degenerativos, derrame articular, hiperplasia sinovial con cuerpos libres y destrucción del cartílago y el hueso subcondral. Estos hallazgos pueden ser identificados con Rx, Ecografía y RM. (5). (Fig 16).

Fig 16. Hombro de milwakee.
A: Rx AP de hombro. Pérdida del espacio acromiohumeral, con esclerosis asociada.
B: RM coronal STIR. Ruptura retraída del supraespinoso (Flecha delgada), con signos de sinovitis y cuerpos libre (Flecha gruesa).
C: RM coronal en T2. Erosión y lesiones osteocondrales de la cabeza humeral.
La enfermedad articular rápidamente progresiva, es una forma rara de osteoartritis, que compromete la cadera. Generalmente es unilateral, pero en algunos casos afecta ambas articulaciones.
Es común en mujeres jóvenes y se pueden encontrar cambios degenerativos de menor intensidad, en otras articulaciones.
En las radiografías seriadas, hay cambios progresivos con disminución del espacio articular y daño del hueso subcondral, de la cabeza femoral y la cavidad acetabular. (5).
(Fig 17 y 18).

Fig 17. Artropatía rápidamente progresiva.
A: Rx AP de cadera. Signos de osteoartrosis.
B: 3 meses y C: 6 meses después. Progresión de los cambios degenerativos, con deformidad la cabeza femoral y ensanchamiento de la cavidad acetabular.

| Fecha de creación | Marzo 1 de 2011 |
| Fecha de actualización | Septiembre 28, 2013 |