CONDROCALCINOSIS U OSTEOCONDROMATOSIS SINOVIAL.
Ocurre como resultado de la proliferación y metaplasia sinovial en las articulaciones, bursas o vainas tendinosas. (2, 14).
También puede ser secundaria a la osteonecrosis, AR, osteoartrosis, artropatía neuropática, etc.
Generalmente es monoarticular, mas frecuente en los hombres y entre la 3º y 5º décadas. (2).
Es mas frecuente en la rodilla, seguido por la cadera y el hombro. (Fig 69).
La afección extra-articular ataca los tendones de las manos y los pies y las bursas subacromial, isquiática e iliopectinea. (19).

Fig 69. Distribución de la condromatosis sinovial.
Alteración monoarticular, de articulaciones grandes.
Tiene 3 fases:
Los hallazgos dependen del grado de calcificación de los cuerpos libres. (2).
En la Rx simple hay cuerpos libres calcificados, prominencia de tejidos blandos, conservándose el espacio articular y la densidad ósea. Pueden encontrarse erosiones escleróticas del hueso adyacente. (19). (Fig 70).
En la RM hay derrame articular, con cuerpos libres calcificados o no. Los calcificados presentan ausencia de señal y los no calcificados, tienen SI similar a la medula ósea. (19). (Fig 71, 72 y 73).

Fig 70. Condromatosis sinovial.
A: Rx lateral. Imagen calcificada de contornos lobulados en la parte posterior de la articulación, que corresponde a condromatosis sinovial.

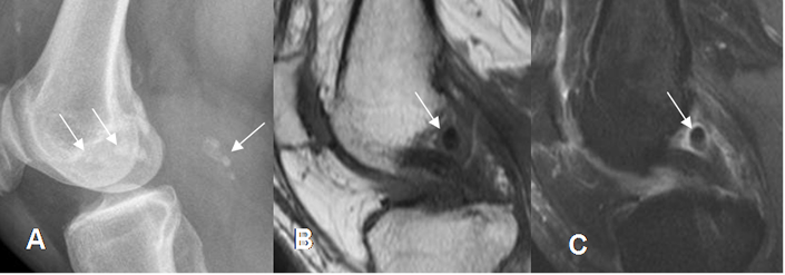
Fig 71. Condromatosis sinovial.
A: Rx lateral. Calcificaciones en la región intercondilea y parte posterior de la rodilla.
B: RM sagital en T1 y C: RM sagital en STIR. Cuerpo libre calcificado, hipointenso en ambas secuencias.

Fig 72. Condromatosis sinovial.
A: RM coronal en T1 y B: RM coronal en STIR. Cuerpos libres no calcificados, con SI similar a la medula ósea.

Fig 73. Condromatosis sinovial.
A: RM axial en T2 y B: RM sagital en T2. Cuerpo libre moderadamente calcificado, en el interior de un quiste de baker.
| Fecha de creación | Marzo 1 de 2011 |
| Fecha de actualización | Septiembre 20, 2011 |